![]() |
| Temas de FC |
E. Rodríguez Urteaga*, A.I. Maderuelo Sánchez*, M. Porcar Almela**![]()
*Centro de Salud Dos de Mayo. Móstoles, Madrid
**Clínica Porcar Pediatría. Almazora, Castellón. Coordinador del Grupo de Trabajo de Ecografía Pediátrica SEPEAP-GTECO
| Resumen
La ecografía pulmonar se ha consolidado como una herramienta esencial en pediatría de Atención Primaria, por su capacidad para valorar de forma rápida, precisa e inocua al niño con síntomas respiratorios. A diferencia de la auscultación o la radiografía, la ecografía no se ve limitada por el llanto ni expone a radiación, y ofrece una alta sensibilidad para detectar alteraciones, como consolidaciones, derrames o neumotórax. Su aplicación permite diagnosticar y monitorizar neumonías, bronquiolitis y sus complicaciones, facilitando decisiones clínicas más fundamentadas. Además, el Lung Ultrasound Score (LUS) ayuda a estratificar la gravedad en bronquiolitis, optimizando derivaciones y reduciendo exploraciones innecesarias. Para el pediatra de AP, dominar esta técnica implica adquirir los conocimientos para realizar exploraciones sistemáticas, reconocer patrones ecográficos y utilizar la ecografía como complemento básico, al mismo nivel que el fonendoscopio, mejorando la calidad asistencial y la seguridad del paciente. |
| Abstract
Lung ultrasound has become an essential tool in primary care pediatrics due to its ability to quickly, accurately, and safely assess children with respiratory symptoms. Unlike auscultation or radiography, ultrasound is not limited by crying or radiation exposure and it offers high sensitivity for detecting abnormalities such as consolidations, effusions, or pneumothorax. Its application allows for the diagnosis and monitoring of pneumonia, bronchiolitis, and their complications, facilitating more informed clinical decisions. Furthermore, the Lung Ultrasound Score (LUS) helps stratify the severity of bronchiolitis, optimizing referrals and reducing unnecessary examinations. For primary care pediatricians, mastering this technique involves acquiring the knowledge to perform systematic examinations, recognize ultrasound patterns, and use ultrasound as a fundamental complement, on par with the stethoscope, thus improving the quality of care and patient safety. |
Palabras clave: Ecografía clínica pulmonar; Pediatra de Atención Primaria; Líneas A; Líneas B; Neumonía.
Key words: Clinical lung ultrasound; Primary care pediatrician; A lines; B lines; Pneumonia.
Pediatr Integral 2026; XXX(1): 59 – 67
OBJETIVOS
• Conocer la ecoanatomía de la pared torácica y el pulmón para poder entender los artefactos que se generan.
• Adquirir los conocimientos necesarios para realizar una ecografía pulmonar.
• Reconocer los distintos patrones ecográficos pulmonares.
• Integrar la ecografía pulmonar en la práctica clínica habitual.
Ecografía pulmonar para el pediatra de Atención Primaria
https://doi.org/10.63149/j.pedint.112
Introducción
La ecografía pulmonar debe utilizarse al mismo nivel que el fonendoscopio en la atención del paciente con patología pulmonar.
La patología respiratoria constituye la principal causa de consulta en Pediatría de Atención Primaria (AP), tanto por su frecuencia como por la carga asistencial y la necesidad de decisiones rápidas. La exploración pulmonar tradicional basada en auscultación y radiografía adolece de limitaciones relevantes, especialmente en los primeros años de vida, donde el llanto del paciente interfiere en la auscultación, los hallazgos clínicos son poco específicos y la interpretación radiográfica es especialmente compleja.
En este contexto, la ecografía pulmonar (EP) representa un importante salto cualitativo desde el punto de vista asistencial en la evaluación del niño con patología respiratoria, ya que no presenta las limitaciones anteriormente comentadas. Permite una valoración inmediata, contextualizada, es inocua y repetible, y ofrece precisión diagnóstica elevada, por lo que se perfila como el verdadero “fonendoscopio del futuro” en pediatría.
Desde el Grupo de Trabajo de Ecografía Clínica de la SEPEAP (GTECO-SEPEAP), se impulsa la democratización de la ecografía pulmonar en AP, destacando su utilidad en el diagnóstico y monitorización de neumonías, bronquiolitis, derrames pleurales y neumotórax(1,2).
La evidencia científica acumulada, en los últimos años, confirma su rendimiento diagnóstico comparable o incluso superior al de la radiografía de tórax para el diagnóstico de neumonías y sus complicaciones, con sensibilidades del 90-96 % y especificidades del 93-95 %(3,4). Asimismo, en el caso de bronquiolitis, los Lung Ultrasound Scores (LUS) son capaces de predecir la necesidad de oxigenoterapia(5,6).
Fundamentos físicos y ecoanatomía pulmonar
La relación aire/líquido pulmonar es lo que determinará los diferentes patrones ecográficos.
El pulmón normal es un órgano aireado, y el aire actúa como un reflector del ultrasonido, lo que impide visualizar directamente su parénquima. En la EP, por lo tanto, lo que se observa son artefactos generados en las diferentes interfases acústicas entre los tejidos de la pared torácica y el pulmón ventilado (Fig. 1).
Figura 1. Ecoanatomía pulmonar.
En la EP de superficial a profundo, podemos identificar:
• Piel y tejido celular subcutáneo, situados en la parte superior de la pantalla, que se visualizan como una zona ecogénica.
• Músculos de la pared torácica: cuya apariencia dependerá del área explorada; se muestran como estructuras hipoecogénicas con finas líneas ecogénicas en su interior en el plano longitudinal.
• Costillas y músculos intercostales: dependiendo de la edad, las costillas se visualizan como estructuras hiperecogénicas con sombra acústica posterior y, según la edad, pueden aparecer más redondeadas o con aspecto de “teja” o “cáscara de huevo”.
• Pleura parietal y visceral: se visualizan como una línea fina hiperecogénica que se desplaza de forma sincrónica con la respiración (lung sliding).
• Pulmón aireado: se identifican artefactos horizontales, repetitivos y equidistantes que reflejan la presencia de aire en el parénquima. Estos artefactos se conocen como líneas A.
En el pulmón patológico, la alteración de la relación aire/líquido permite una mayor transmisión del ultrasonido, generando artefactos específicos o la visualización directa de estructuras, lo que define los diversos patrones ecográficos pulmonares(7) (Fig. 2).
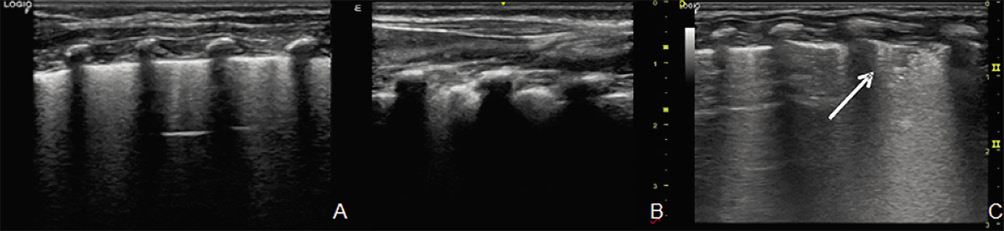
Figura 2. Patrones ecográficos pulmonares: A. Patrón intersticial: aumento de tres o más líneas B (asterisco) por espacio intercostal, que borran líneas A. B. Patrón alveolo-intersticial: confluencia de líneas B, engrosamiento pleural y consolidaciones subpleurales < 5 mm (flecha). C. Patrón de neumonía: condensación > 5-10 mm, signo de desflecamiento o signo de la sierra en el borde inferior de la consolidación.
Técnica de exploración
Al realizar la ecografía pulmonar, se debe seguir siempre la misma sistemática.
• Sonda y configuración:
– Preset o configuración para pulmón o estructuras superficiales.
– Transductor lineal de alta frecuencia 7,5-15 MHz: óptimo para la pleura y los espacios intercostales.
– Transductor convexo 5-8 MHz: niños mayores o consolidaciones profundas.
– Profundidad: 3-5 cm (lactantes) / 6-8 cm (mayores).
– Foco: a nivel de la línea pleural.
– Ganancia: uniforme; evitar filtros de suavizado.
• Posición del paciente:
– Lactantes: en brazos del familiar, o tumbados con leve inclinación lateral.
– Niños mayores: antebrazos y/o manos tras la cabeza para elevar escápulas.
• Sistemática:
– Explorar siempre de forma ordenada y simétrica: campos anteriores, laterales y posteriores de cada hemitórax.
– En cada región, cortes longitudinales y transversales.
– Sonda perpendicular a la piel, adaptándonos al desplazarnos a la curvatura del tórax.
– Registrar la línea pleural, (líneas A y B), consolidaciones, derrames y movilidad diafragmática.
– Algunos autores recomiendan empezar por la región posterior, ya que es en la que con mayor frecuencia se encuentra la patología(8-12).
Regiones de exploración de ecografía pulmonar
La división por regiones permite una valoración sistemática, reproducible y comparable.
Para explorar ecográficamente el tórax, Volpicelli et al. proponen dividir cada pulmón en 6 regiones, limitadas: verticalmente, por el esternón, las líneas axilares anterior y posterior y la columna vertebral; y horizontalmente, por la clavícula, la línea mamilar y el diafragma(13). Así se distinguen:
• Regiones anteriores: limitadas por la clavícula, el esternón, la línea pleural anterior y el diafragma. En esta zona se localizan patologías como el neumotórax, y se exploran con el paciente en posición supina o semisentado (Fig. 3).
Figura 3. Regiones de exploración: A. Campos pulmonares anteriores. B. Campos pulmonares laterales. C. Campos pulmonares posteriores.
– Hemitórax derecho: zonas 1 (superior) y 2 (inferior).
– Hemitórax izquierdo: zonas 7 (superior) y 8 (inferior).
• Regiones laterales: situadas entre la línea axilar anterior, la línea axilar posterior y el diafragma. En ellas se puede localizar la patología pleural, como los derrames, las consolidaciones y las alteraciones en la movilidad del diafragma, especialmente en el punto posterolateral o PLAPS point (Postero-Lateral Alveolar and Pleural Syndrome).
– Derecho: zonas 3 (superior) y 4 (inferior).
– Izquierdo: zonas 9 (superior) y 10 (inferior).
• Regiones posteriores: limitadas por la línea axilar posterior y la columna. Es la zona dependiente de la gravedad, y su exploración es útil para el diagnóstico de derrames pleurales pequeños, consolidaciones y patrones intersticiales. Se exploran con el paciente sentado o en decúbito lateral.
– Derecho: zonas 5 (superior) y 6 (inferior).
– Izquierdo: zonas 11 (superior) y 12 (inferior).
Esta división permite una valoración sistemática, reproducible y comparable entre exploradores, facilitando la localización de hallazgos patológicos y su correlación con la clínica y la radiología convencional.
Se recomienda registrar los hallazgos según esta nomenclatura y, en caso de consolidaciones o artefactos focales, especificar el número de la región afectada(1,11-14).
Hallazgos ecográficos
Tanto en cortes longitudinales como transversales, debemos reconocer las líneas A, el deslizamiento y la línea pleural.
Durante la exploración pulmonar ecográfica, la obtención de cortes longitudinales y transversales permite una evaluación anatómica completa del parénquima pulmonar, accesible a través de los espacios intercostales. Cada plano ofrece información complementaria, y la correcta sistemática de ambos es esencial para no omitir zonas patológicas ni interpretar falsos hallazgos (Fig. 4).
Figura 4. Corte longitudinal y transversal.
• Corte longitudinal (sagital): para obtener este plano, se coloca la sonda lineal de alta frecuencia de forma perpendicular a la piel, con la muesca orientada hacia la cabeza del paciente, adaptándola entre dos costillas consecutivas. La disposición del haz ultrasónico en este eje genera una imagen en la que se visualizan dos sombras costales hiperecogénicas con su correspondiente sombra acústica posterior, separadas por una zona central más brillante que corresponde a la línea pleural.
Figura 5. Cortes pulmonares: A. Corte longitudinal (líneas A, flechas).
B. Signo del telón*. C. Corte transversal (líneas A, flechas).
Esta imagen característica se denomina “signo del murciélago” (bat sign), ya que las costillas y sus sombras representan las “alas”, y la línea pleural, el “cuerpo” del murciélago (Fig. 5A).
En el corte longitudinal, otro hallazgo característico del pulmón normal es el “signo del telón” (lung curtain sign), visible en la transición entre el parénquima pulmonar aireado y las vísceras subdiafragmáticas (Fig. 5B). Se manifiesta como un movimiento que desciende y asciende sobre el hígado o el bazo con cada ciclo respiratorio (simulando la apertura y cierre de un telón). Este fenómeno refleja la expansión basal normal del pulmón y su desplazamiento dinámico sobre las estructuras abdominales, y su desaparición sugiere la presencia de derrame pleural o pérdida de aireación basal.
El corte longitudinal es ideal para identificar la integridad y movilidad de la línea pleural, para evaluar el patrón de artefactos y para localizar lesiones subpleurales pequeñas, consolidaciones o irregularidades del borde pleural. Permite, además, valorar, mediante la observación dinámica, la presencia o ausencia de deslizamiento, signo clave en el diagnóstico de neumotórax o adherencias pleurales.
• Corte transversal (axial): el plano transversal se obtiene girando la sonda 90 grados respecto al eje longitudinal, de modo que la muesca apunte hacia el lado derecho del paciente. Esta orientación permite visualizar la línea pleural de manera continua a lo largo del espacio intercostal, con menor interferencia de las sombras costales (Fig. 5C).
El corte transversal resulta especialmente útil una vez localizada una lesión en el plano longitudinal, ya que posibilita valorar su extensión lateral y su continuidad con estructuras adyacentes.
Cuando existe consolidación subpleural, en el plano transversal se observa un área hipoecogénica o con textura similar al parénquima hepático, de bordes mal definidos y que puede mostrar broncograma aéreo, visible como puntos o líneas hiperecogénicas que se desplazan con la respiración.
En el caso de derrame pleural, esta proyección facilita la visualización completa del espacio pleural ocupado por líquido, permitiendo valorar su forma, ecoestructura y septos, si los hubiera.
El estudio transversal también puede combinarse con modo M para analizar el movimiento pleural sinusoide en derrames libres o para confirmar la ausencia de deslizamiento en neumotórax.
El uso complementario de ambos planos proporciona una visión tridimensional del espacio pleural y subpleural. El corte longitudinal permite localizar e identificar lesiones, mientras que el transversal facilita cuantificar la extensión y analizar su composición interna. Aplicar de forma sistemática ambos cortes en cada región explorada (anterior, lateral y posterior) garantiza una exploración completa y reproducible(11-14).
En estos cortes se debe identificar la presencia o alteración de los signos ecográficos presentes en el pulmón normal (Tabla I).
• Línea pleural: artefacto lineal hiperecogénico, causado por el cambio de impedancia entre el tejido subcutáneo/músculo y el pulmón aireado. De ella van a partir el resto de los artefactos, que nos indican la presencia o ausencia de patología.
• Deslizamiento pulmonar: desplazamiento rítmico de la línea pleural con la respiración correspondiente al deslizamiento entre sí de las pleuras parietal y visceral, típico del pulmón bien aireado (normal).
• En modo M: este movimiento genera la imagen de la “orilla del mar” (“seashore sign”), donde la zona superior (pared torácica inmóvil) presenta un patrón de líneas paralelas horizontales “olas”, y la inferior (pulmón ventilado/móvil) un aspecto granular “arena”, que confirma la presencia de aireación normal (Fig. 6).
Figura 6. Imagen de la orilla del mar.
• Líneas A: son artefactos lineales horizontales hiperecogénicos equidistantes entre sí y paralelos a la pleura, consecuencia de la reverberación del sonido. Presentes cuando el pulmón es sano y está normalmente aireado.
• Líneas B: son artefactos lineales verticales, en cola de cometa, que parten de la pleura, se desplazan con los movimientos respiratorios y alcanzan el fondo de la imagen, borrando las líneas A; aunque pueden observarse de forma normal (hasta 2-3 por espacio intercostal en las bases o en el recién nacido).
Patrones ecográficos y correlación clínica
Debemos integrar los diferentes patrones ecográficos en el contexto clínico del paciente.
Neumonía adquirida en la comunidad
La ecografía pulmonar está sustituyendo progresivamente a la radiografía, ya que puede realizarse a pie de cama, no expone a radiaciones, presenta alta sensibilidad para la consolidación y puede repetirse cuantas veces se quiera.
• Patrones ecográficos: el pulmón normal no se visualiza directamente, pero en las consolidaciones (donde el alveolo está relleno de exudado o líquido) alteran la impedancia y se hacen visibles siempre que contacten con la pleura, lo que ocurre en > 95 % de las neumonías pediátricas. La imagen típica es una zona hipoecoica subpleural con distintos patrones (Fig. 7):
Figura 7. Patrones ecográficos en neumonía: A. Líneas B perilesionales y márgenes imprecisos (flecha). B. Signo del desgarro (shred sign). C. Hepatización pulmonar (estrella). D. Broncograma aéreo dinámico.
– Líneas B perilesionales y márgenes imprecisos en condensaciones pequeñas.
– Signo del desgarro (shred sign): borde irregular entre zonas aireadas y consolidadas; suelen aparecer líneas B en la zona posterior a la consolidación.
– Hepatización pulmonar: con ecoestructura similar a la del hígado.
– Broncograma aéreo dinámico: puntos o líneas blancas móviles dentro de la consolidación que corresponde a la imagen del bronquio según el corte sea transversal o longitudinal.
La presencia de tres o más líneas B en un espacio intercostal, líneas B confluentes, engrosamiento o irregularidad pleural, así como consolidaciones subpleurales < 0,5 cm de distribución bilateral, se asocian a neumonías víricas(15).
Las consolidaciones mayores de 1 cm, particularmente si son unilaterales, presentan broncograma aéreo y/o derrame pleural asociado, se asocian con mayor probabilidad a infección bacteriana y, por tanto, debe considerarse tratamiento antibiótico(16-18).
Metaanálisis recientes confirman que la EP presenta una sensibilidad y especificidad superiores al 90 % en comparación con la radiografía de tórax(3,4). Además, permite monitorizar la resolución del proceso, disminuir la exposición a radiaciones y detectar, de forma precoz, complicaciones, como abscesos o derrames pleurales.
Neumonía recurrente
Definida como ≥ 2 episodios anuales o ≥ 3 a lo largo de la vida, con resolución clínica y radiológica entre ellos.
La ecografía pulmonar ofrece ventajas clave:
• Confirmar consolidación real.
• Localizar el mismo lóbulo o segmento afectado, orientando a causa estructural u obstructiva.
• Monitorizar resolución entre episodios, evitando radiaciones acumuladas.
• Detectar complicaciones, como derrames o abscesos, y vigilar evolución.
• Identificar signos sugerentes de bronquiectasias (áreas quísticas subpleurales, broncograma líquido).
Bronquiolitis
• Patrones ecográficos:
– Aumento de líneas B difusas, múltiples/coalescentes: los septos interlobulillares subpleurales engrosados por el edema producen la reverberación de los haces de ultrasonido que forman las líneas B. Un aumento en el número de líneas B (más de tres líneas B por cada espacio intercostal) indica un aumento del edema y de la congestión. Cuando hay un aumento del líquido interlobulillar importante, las líneas B se fusionan, produciendo el llamado patrón de pulmón blanco pulmonar.
– Engrosamiento o irregularidad pleural: tanto por el edema alveolar como por la disminución de la aireación pulmonar, la línea pleural suele ser irregular, engrosada o mal definida.
– Pequeñas consolidaciones subpleurales: las áreas de hipoventilación pulmonar con ausencia de aire alveolar se visualizan en forma de consolidaciones adyacentes a la línea pleural (Fig. 8).
Figura 8. Patrones ecográficos en bronquiolitis. A. Aumento de líneas B difusas, múltiples/coalescentes. B. Engrosamiento o irregularidad pleural. C. Pequeñas consolidaciones subpleurales (flecha).
En la bronquiolitis es típica la afectación bilateral y heterogénea, que alterna áreas de pulmón patológico con áreas de pulmón sanas, que lo diferencia de otras entidades que también pueden presentar un síndrome intersticial, como son el edema cardiogénico, la neumonía intersticial o el síndrome de distrés respiratorio agudo.
La ecografía pulmonar es extremadamente útil para estratificar la gravedad. Estudios recientes demuestran que los LUS correlacionan con la necesidad de oxígeno o ingreso. Estas puntuaciones permiten estratificar la gravedad en AP y reducir hospitalizaciones innecesarias.
Los LUS cuantifican la pérdida de aireación, asignando una puntuación de 0 a 3 según el patrón ecográfico predominante en cada una de las 12 zonas. En pediatría, LUS >15 se asocia a mayor probabilidad de ingreso o soporte respiratorio en bronquiolitis y neumonías graves(19) (Tabla II).
En la tabla III se resumen los hallazgos ecográficos más frecuentes relacionados con el agente etiológico del proceso respiratorio(15-17).
Derrame pleural
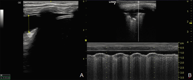
Cuando en una neumonía persiste la fiebre, la tos pleurítica o la dificultad respiratoria pese a antibiótico, se debe sospechar derrame pleural. Dado que la inserción del diafragma es más caudal a nivel posterior del tórax, el examen debe centrarse en los campos posteriores y laterales, más declives con el paciente sentado o en brazos de la madre (Fig. 9).
Figura 9. A. Signo del cuadrado (modo B). B. Signo del sinusoide (modo M).
• Patrones ecográficos:
– Espacio anecoico entre pleura visceral y parietal.
– Signo del cuadrado (modo B): colección anecoica delimitada lateralmente por la sombra acústica de las costillas. El límite inferior es la pleura visceral (hiperecoica) y el límite superior es la parietal.
– Signo del sinusoide (modo M): línea ondulante de la pleura visceral durante la respiración.
– Si hay septos/loculaciones, pueden sugerir empiema.
– Podemos estimar el volumen del derrame pleural; la más utilizada es la fórmula de Balik, que calcula el volumen (ml) como: 20 × distancia (mm) entre la pleura visceral y la parietal, medida en la línea axilar posterior al final de la espiración. Esta fórmula, aunque desarrollada inicialmente en adultos, ha mostrado buena correlación en población pediátrica, sobre todo para el seguimiento evolutivo del derrame(20-21).
Atelectasia
La atelectasia es la pérdida parcial o total de aire alveolar con colapso del parénquima pulmonar, que reduce el volumen y modifica la relación aire/líquido, volviendo visible el tejido colapsado mediante ecografía.
En la ecografía pulmonar, el parénquima atelectásico se observa hipoecoico o de ecoestructura homogénea, con ausencia de artefactos aéreos y disminución o pérdida del deslizamiento pleural. Según el mecanismo causal y la presencia o no de inflamación asociada, los patrones ecográficos pueden variar de forma considerable.
La atelectasia puede preceder, coexistir o suceder a la neumonía. En pediatría, es frecuente que la neumonía tenga un componente atelectásico asociado, especialmente en lóbulos inferiores y segmentos posteriores.
Un hallazgo que podría orientar en el diagnóstico diferencial es el broncograma aéreo:
• En la neumonía, el broncograma es dinámico, desplazándose con la respiración al mantenerse la permeabilidad bronquial.
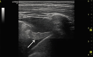
• En la atelectasia, el broncograma es estático o puede estar ausente, reflejando la falta de ventilación distal o la obstrucción bronquial(14) (Fig. 10).
Figura 10. Atelectasia basal (flecha) de borde bien definido, forma triangular, con broncograma aéreo estático, asociada a condensación y derrame pleural.
Neumotórax
El neumotórax se produce por la presencia de aire en el espacio pleural, que separa la pleura visceral de la parietal e impide la transmisión normal del movimiento pulmonar a la pared torácica. La ecografía pulmonar es una herramienta altamente sensible para su diagnóstico, especialmente en niños, donde permite una detección precoz, incluso de volúmenes mínimos de aire libre.
• Patrones ecográficos:
– Ausencia de deslizamiento pleural, característico del neumotórax: desaparece el movimiento rítmico entre la pleura visceral y parietal, por la ocupación por aire del espacio pleural.
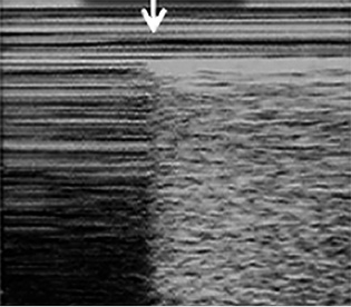
– Punto pulmón, es un signo específico de neumotórax: punto en que confluyen pulmón colapsado y ventilado (Fig. 11).
Figura 11.Punto pulmón (flecha); a la izquierda se visualiza el patrón de “código de barras”, a la derecha el patrón de “la orilla del mar”.
– En modo M: patrón de “código de barras”, en lugar del patrón normal de “orilla del mar”. Para localizarlo, colocaremos la sonda en el 2º espacio intercostal, línea medioclavicular, recorriendo el espacio de medial a lateral.
Implementación en España
En una encuesta nacional en AP, se recogió la disponibilidad creciente de ecógrafos, así como su infrautilización; la incorporación sistemática de la EP infantil está cambiando la actitud ante sospecha de neumonía. Editoriales y documentos de SEPEAP subrayan que la ecografía pulmonar debe integrarse en protocolos de AP (formación y equipos portátiles)(1,2).
Por tanto, la capacitación en ecografía pulmonar debería formar parte de la formación de los pediatras de AP. En este sentido, el GTECO-SEPEAP impulsa esta formación mediante cursos supervisados, con el objetivo de garantizar un uso homogéneo, seguro y basado en la evidencia de la ecografía clínica en pediatría.
Ventajas, limitaciones y seguridad
• Ventajas:
– Técnica inocua y sin radiación.
– Portátil y accesible.
– Repetible en cualquier momento.
– Diagnóstico inmediato.
– Correlaciona con la evolución clínica.
– Existe mayor confianza de familias y profesionales.
• Limitaciones:
– Dependencia del operador y curva de aprendizaje.
– Dificultad para lesiones profundas no subpleurales.
– Requiere formación.
Función del pediatra de Atención Primaria
Las principales funciones del pediatra de Atención Primaria son:
• Adquirir los conocimientos necesarios para realizar una ecografía pulmonar.
• Saber reconocer los distintos patrones ecográficos pulmonares de manera que pueda diferenciar las imágenes normales de las patológicas.
• Incorporar la ecografía pulmonar en la práctica clínica habitual, al mismo nivel que la fonendoscopia, para la valoración de pacientes con clínica respiratoria, adaptándola al contexto clínico de cada paciente.
• Monitorizar la evolución de neumonías, bronquiolitis o derrames pleurales, evitando radiografías innecesarias y ajustando el tratamiento según los hallazgos.
• Estratificar la gravedad y, en consecuencia, mejorar la toma de decisiones, utilizando los Lung Ultrasound Scores (LUS) en la valoración de los pacientes con bronquiolitis.
Conclusiones
La EP se ha consolidado como una herramienta diagnóstica esencial en pediatría de AP.
Permite una valoración rápida, precisa y segura del niño con fiebre o dificultad respiratoria, contribuyendo a reducir radiografías y el número de derivaciones.
La formación sistemática de los profesionales es imprescindible para asegurar la calidad y reproducibilidad de la técnica.
El objetivo del GTECO-SEPEAP es que, en los próximos años, cada pediatra de AP disponga de un ecógrafo operativo y de una competencia básica en LUS, de manera que esta herramienta se integre en la exploración habitual del paciente pediátrico, al mismo nivel que el fonendoscopio.
Conflicto de intereses
No hay conflicto de interés en la elaboración del presente manuscrito ni fuente de financiación.
Bibliografía
Los asteriscos muestran el interés del artículo a juicio de los autores.
1. Porcar M, Ortiz L, Osiniri I. Ecografía pulmonar: el fonendoscopio del futuro. Talleres simultáneos SEPEAP 2025. Pediatr Integral. 2025; 24 (nº especial): 36-7. Disponible en: https://www.pediatriaintegral.es/wp-content/uploads/2025/10/Congreso-SEPEAP_2025_LIBRO.pdf.
2. Alonso-Peña P, Ortiz-González L. Ecografía clínica pulmonar pediátrica en Atención Primaria: situación actual en España. Aten Primaria. 2024; 56: 102902. Disponible en: https://doi.org/10.1016/j.aprim.2024.102902.
3. Shi C, Xu X, Xu Y. Accuracy of lung ultrasound for childhood community-acquired pneumonia: systematic review and meta-analysis. Pediatr Pulmonol. 2024; 59: 231-45. Disponible en: https://doi.org/10.1002/ppul.27221.
4. Yan JH, Yu N, Wang YH, Gao YB, Pan L. Lung ultrasound vs chest radiography in the diagnosis of children pneumonia: Systematic evidence. Medicine (Baltimore). 2020; 99: e23671. Disponible en: https://doi.org/10.1097/MD.0000000000023671.
5. Thabet F, Zayani S, Haddad N, Daya A, Ben Nasrallah C, Chouchane S. Prognostic Role of Lung-Ultrasound Score in Acute Bronchiolitis Patients Treated With High Flow Nasal Cannula: A Prospective Study. Pediatr Pulmonol. 2025; 60: e27432. Disponible en: https://doi.org/10.1002/ppul.27432.
6. Oulego-Erroz I, De Castro-Venino MP, González-Cortés R, Alonso-Ojembarrena A, Rodríguez-Núñez A, Palanca-Arias D, et al. Lung Ultrasound Score, Severity of Acute Lung Disease and Prolonged Mechanical Ventilation in Children. Am J Respir Crit Care Med. 2025; 211: 103-12. Disponible en: https://doi.org/10.1164/rccm.202404-0843oc.
7. Bobillo-Pérez S, Girona-Alarcon M, Rodríguez-Fanjul J, Jordan I, Balaguer Gargallo M. Lung ultrasound in children: What does it give us? Paediatr Respir Rev. 2020; 36: 136-41. Disponible en: https://doi.org/10.1016/j.prrv.2019.09.006.
8. Singh Y, Tissot C, Fraga MV, Yousef N, Cortes RG, López JM, et al. International evidence-based guidelines on Point of Care Ultrasound (POCUS) for critically ill neonates and children issued by the POCUS Working Group of the European Society of Paediatric and Neonatal Intensive Care (ESPNIC). Crit Care. 2020; 24: 65. Disponible en: https://doi.org/10.1186/s13054-020-2787-9.
9. Mathis G. Chest Sonography. 3rd ed. Springer; 2011.
10. Gimeno Díaz de Atauri A, Morante Valverde R. Patología pleural: derrame, neumotórax y neumomediastino. Pediatr Integral. 2021; 1: 29-36. Disponible en: https://www.pediatriaintegral.es/publicacion-2021-01/patologia-pleural-derrame-neumotorax-y-neumomediastino/.
11. Bilbao Sustacha JA, Peix Sambola MA, Alonso Martín DE, Díaz Lázaro J. Aplicación de la ecografía clínica pediátrica en Atención Primaria. En: AEPap (ed.). Congreso de Actualización Pediatría 2019. Madrid: Lúa Ediciones 3.0; 2019: p. 495-506.
12. Rizvi MB, Rabiner JE. Pediatric Point-of-Care Lung Ultrasonography: A Narrative Review. West J Emerg Med. 2022; 23: 497-504. Disponible en: https://doi.org/10.5811/westjem.2022.3.54663.
13. Volpicelli G, Elbarbary M, Blaivas M, Lichtenstein DA, Mathis G, Kirkpatrick AW, et al.; International Liaison Committee on Lung Ultrasound (ILC-LUS) for International Consensus Conference on Lung Ultrasound (ICC-LUS). International evidence-based recommendations for point-of-care lung ultrasound. Intensive Care Med. 2012; 38: 577-91. Disponible en: https://doi.org/10.1007/s00134-012-2513-4.
14. González Rodríguez P, Porcar Muñoz M, Ortiz González L, et al. Aportación de la ecografía clínica en la patología respiratoria en Atención Primaria. En: SEPEAP, editor. Técnicas diagnósticas en la consulta de Pediatría de Atención Primaria: hacia un futuro de máxima resolución. Madrid: SEPEAP; 2024. p. 321-7.
15. Kharasch S, Duggan NM, Cohen AR, Shokoohi H. Lung Ultrasound in Children with Respiratory Tract Infections: Viral, Bacterial or COVID-19? A Narrative Review. Open Access Emerg Med. 2020; 12: 275-85. Disponible en: https://doi.org/10.2147/OAEM.S238702.
16. Gravel CA, Neuman MI, Monuteaux MC, Neal JT, Miller AF, Bachur RG. Significance of Sonographic Subcentimeter, Subpleural Consolidations in Pediatric Patients Evaluated for Pneumonia. J Pediatr. 2022; 243: 193-9.e2. Disponible en: https://doi.org/10.1016/j.jpeds.2021.12.052.
17. Gori L, Amendolea A, Buonsenso D, Salvadori S, Supino MC, Musolino AM, et al. Prognostic Role of Lung Ultrasound in Children with Bronchiolitis: Multicentric Prospective Study. J Clin Med. 2022; 11: 4233. Disponible en: https://doi.org/10.3390/jcm11144233.
18. Rodríguez García L, Hierro Delgado E, Oulego Erroz I, Rey Galán C, Mayordomo Colunga J. Clinical-Ultrasound Model to Predict the Clinical Course in Bronchiolitis. Children. 2024; 11: 987. Disponible en: https://doi.org/10.3390/children11080987.
19. Hernández-Villarroel AC, Ruiz-García A, Manzanaro C, Echevarría-Zubero R, Bote-Gascón P, González-Bertolín I, et al. Lung Ultrasound: A Useful Prognostic Tool in the Management of Bronchiolitis in the Emergency Department. J Pers Med. 2023; 13: 1624. Disponible en: https://doi.org/10.3390/jpm13121624.
20. Rendón-Ramírez EJ, Morales-García AM, Rendón-Pérez A, Nañez-Terreros H, Solís RC, Magaña-García AD, et al. Pleural Effusion Identified by Point of Care Ultrasound (POCUS) in Septic Shock: Impact on Clinical Outcomes. POCUS J. 2024; 9: 55-61. Disponible en: https://doi.org/10.24908/pocus.v9i2.17293.
21. Jaworska J, Buda N, Ciuca IM, Dong Y, Fang C, Feldkamp A, et al. Ultrasound of the pleura in children, WFUMB review paper. Med Ultrason. 2021; 23: 339-47. Disponible en: https://doi.org/10.11152/mu-3058.
Bibliografía recomendada
– Shi C, Xu X, Xu Y. Accuracy of lung ultrasound for childhood community-acquired pneumonia: systematic review and meta-analysis. Pediatr Pulmonol. 2024; 59: 231-45. Disponible en: https://doi.org/10.1002/ppul.27221.
Revisión sistemática y metaanálisis que demuestra la alta precisión diagnóstica de la ecografía pulmonar en la neumonía pediátrica adquirida en la comunidad, con sensibilidad y especificidad superiores al 90 %. Este trabajo constituye una evidencia sólida para justificar el uso de la ecografía como alternativa a la radiografía de tórax en pediatría de Atención Primaria.
– Oulego-Erroz I, De Castro-Venino MP, González-Cortés R, Alonso-Ojembarrena A, Rodríguez-Núñez A, Palanca-Arias D, et al. Lung Ultrasound Score, Severity of Acute Lung Disease and Prolonged Mechanical Ventilation in Children. Am J Respir Crit Care Med. 2025; 211: 103-12. Disponible en: https://doi.org/10.1164/rccm.202404-0843oc.
Estudio que valida la capacidad de los scores ecográficos pulmonares (LUS) para predecir la necesidad de ingreso en UCIP en lactantes con bronquiolitis, superando a las escalas clínicas tradicionales. Representa una herramienta fundamental para la estratificación de gravedad y la toma de decisiones en el primer nivel asistencial.
– Singh Y, Tissot C, Fraga MV, Yousef N, Cortes RG, Lopez J, et al. International evidence-based guidelines on point-of-care ultrasound (POCUS) for critically ill neonates and children. Crit Care. 2020; 24: 65. Disponible en: https://doi.org/10.1186/s13054-020-2787-9.
Guías internacionales basadas en la evidencia que establecen los estándares, protocolos y competencias necesarias para el uso de la ecografía clínica en pacientes pediátricos críticos, incluyendo la evaluación pulmonar. Es un documento de referencia esencial para la implementación sistemática, segura y estructurada de la técnica en entornos pediátricos.
– Alonso-Peña P, Ortiz-González L. Ecografía clínica pulmonar pediátrica en Atención Primaria: situación actual en España. Aten Primaria. 2024; 56: 102902. Disponible en: https://doi.org/10.1016/j.aprim.2024.102902.
Revisión fundamental para comprender el estado actual de la ecografía pulmonar en la Atención Primaria española, destacando la disponibilidad de equipos, barreras de implementación, necesidades formativas y oportunidades de mejora. Artículo especialmente útil para contextualizar la necesidad de formación y acreditación en EP por parte de los pediatras de AP.
| Caso clínico |
|
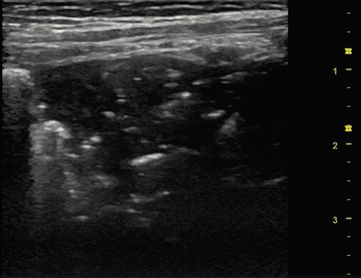
Motivo de consulta: fiebre, tos y mocos. Anamnesis: lactante de 8 meses de vida que acude a la consulta por fiebre máxima de 38ºC, de 48 horas de evolución. Refieren cuadro catarral con mucosidad los cinco días previos, pero en las últimas 24 horas aumento de la tos que le despierta por la noche y le provoca el vómito. Rechazo parcial de la ingesta. Orina y deposiciones sin alteraciones. Antecedentes personales: recién nacida prematura de 34 semanas de edad gestacional. Sin episodios de dificultad respiratoria previos. Exploración física: buen aspecto general, normocoloreada, normohidratada. No exantemas, no petequias. Tiraje subcostal bajo e intercostal leve. ACP: buena entrada de aire bilateral, subcrepitantes en ambas bases pulmonares asociando sibilancias telespiratorias. ABD: blando y depresible, sin masas ni megalias. ORL: otoscopia normal, orofaringe hiperémica con mucosidad en cavum. Pruebas complementarias: combo antígeno VRS, influenza A y B, Mycoplasma y adenovirus (inmunocromatografía): positivo para VRS. Ecografía pulmonar (primera consulta): se observa aumento de líneas B, engrosamiento de la línea pleural, así como consolidaciones subpleurales bilaterales menores de 10 mm (Fig. 12). Figura 12. Plan: tras valoración de la paciente, se recomiendan lavados nasales, postura semiincorporada y administración de salbutamol en cámara, 2-3 pulsaciones cada 8 horas. En caso de persistencia o empeoramiento de la fiebre, control en 48 horas. Evolución: acuden al pediatra a las 48 horas, por persistencia y aumento de la temperatura, con picos de fiebre de hasta 39ºC, aumento de la tos y mucosidad, asociando rechazo de la ingesta mayor que en días previos. Ecografía pulmonar de control a las 48 horas: se observa imagen en dientes de sierra y broncograma aéreo (Fig. 13). Figura 13.
|


















Acute bronchiolitis and bronchitis in pediatrics