![]() |
| Temas de FC |
M. Ridao Redondo
Equipo de Atención Primaria (EAP). Torrellas de Llobregat. Barcelona
| Resumen
La bronquiolitis (BA) es un primer episodio de dificultad respiratoria en un lactante de hasta 24 meses. La etiología es vírica, cursando en brotes epidémicos estacionales. La causa más frecuente es el virus respiratorio sincitial, seguido por el rinovirus. El diagnóstico es clínico y el manejo se realiza básicamente en Pediatría de Atención Primaria. Cada vez hay más y mejor evidencia a partir de las guías de práctica clínica (GPC), de que no existe tratamiento farmacológico que modifique el curso de la BA, ni reduzca la tasa de ingresos ni la duración de la hospitalización. Sin embargo, parecen existir distintos fenotipos de pacientes y mecanismos patogénicos distintos para algunos virus que explicarían que, algunos niños, puedan responder a la prueba terapéutica con broncodilatadores. La necesidad de oxígeno en bronquiolitis grave indicará la necesidad de manejo hospitalario. |
| Abstract
Bronchiolitis (BA) is a first episode of respiratory distress in an infant of up to 24 months of age. The etiology is viral, occurring in seasonal epidemic outbreaks. The most common cause is Respiratory Syncytial Virus, followed by Rhinovirus. The diagnosis is clinical and the management is carried out basically in primary care paediatrics. There is more and better evidence from clinical practice guidelines (CPG), that there is no pharmacological treatment able to modify the course of BA, nor reduce the rate of admissions or duration of hospitalization. However, there seem to be different phenotypes of patients and different pathogenetic mechanisms for some viruses that would explain, why some children may respond to the therapeutic test with bronchodilators. |
Palabras clave: Bronquiolitis; Bronquitis.
Key words: Bronchiolitis; Bronchitis.
Pediatr Integral 2021; XXV (1): 21 – 28
Bronquiolitis y bronquitis
Bronquiolitis
Definición
La bronquiolitis es un primer episodio de infección vírica aguda de las vías respiratorias inferiores que cursa como síndrome disneizante. Está causada por la inflamación aguda, edema y necrosis de las células epiteliales de los bronquios más pequeños, junto con hipersecreción de moco, en el contexto de un cuadro catarral en un lactante menor de 2 años(1). En 1983, McConnochie estableció unos criterios clínicos para definir la enfermedad que, aunque de forma heterogénea, son los más utilizados (Tabla I).
Epidemiología
Es un síndrome clínico muy frecuente que cursa en brotes epidémicos con una incidencia máxima entre los 2 y los 6 meses.
En el primer año de vida, alrededor de 1 de cada 3 lactantes, desarrollará bronquiolitis clínica. En el hemisferio norte (templado), la mayoría de los casos se producen entre noviembre y abril, con una incidencia máxima entre enero y febrero.
Se desconoce el impacto real en las consultas de Atención Primaria (AP). En la base de datos clínicos del Ministerio de Sanidad, en el grupo de 0 a 14 años de edad, la bronquiolitis aguda (BA) es el quinto motivo de consulta, pero no se recoge qué lugar ocupa en los menores de 2 años(2). En Cataluña, en el año 2014, la tasa de nuevos diagnósticos de BA en Atención Primaria fue de 13,3 por cada 100 lactantes(3). El estudio epidemiológico realizado en Valencia(4), concluye que la mayoría de las BA se tratan en AP (87%); que afecta a 2 de cada 10 niños menores de 2 años y que, de ellos, el 3% requiere ingreso. Los lactantes entre 2 y 10 semanas son grupo de riesgo para bronquiolitis grave. Este mismo estudio estima que cada episodio genera 5 consultas en AP y, globalmente, unas 500.000 visitas y 1.000.000 de días de atención por parte de los padres o cuidadores.
En España, la tasa anual de hospitalización por BA es del 24/1.000 menores de 12 meses. Los ingresos suponen el 18% de todas las hospitalizaciones pediátricas(5). Es la primera causa de hospitalización en menores de 2 años en todo el mundo. Se considera la segunda causa de muerte después de la malaria en niños menores de un año.
El análisis económico de las hospitalizaciones no es fácil, ya que existe una gran variabilidad en la manera de abordar la infección, utilizándose con frecuencia, tratamientos cuya eficacia no está demostrada. Los costes también varían dependiendo del sistema sanitario; así, mientras que en Holanda se estimó un coste medio de 2.200 dólares por caso hospitalizado, en EE.UU. se acerca a los 9.000 dólares. En España, concretamente en la Comunidad Valenciana, un estudio realizado durante los años 2001-2002, con una aproximación similar a la de los autores responsables de los estudios anteriores, pero de base poblacional, estimó que cada caso de bronquiolitis por VRS costaría 2.253 euros(6). No hay que olvidar que el impacto no solo es sanitario y económico, también supone una importante carga para las familias, tanto económica como emocional: días de hospitalización, niños enfermos, pérdida de días de trabajo por cuidados, etc.
Etiología
La bronquiolitis aguda está causada por infecciones virales. Los distintos virus varían en función de la estación del año. El virus detectado con más frecuencia es el virus respiratorio sincitial (VRS), seguido por el rinovirus (RV). Otros menos frecuentes son: bocavirus, adenovirus, metapneumovirus, influenza A y B, y parainfluenza. Se han descrito coinfecciones entre ellos hasta en un tercio de las BA(7).
El VRS es el más frecuente, causa el 70-80% de las BA. Es estacional, de noviembre a febrero, con picos epidémicos (Fig. 1).
Figura 1. Numero de detecciones de VRS desde la semana 40/2016 hasta la 07/2020.
En: https://www.sjdhospitalbarcelona.org/es/informe-red-vigilancia-hospitalaria-vrs.
No produce inmunidad duradera y las reinfecciones son frecuentes. Cada año, el 75% de los menores de un año se infecta por VRS (pico entre 2 y 3 meses). El 2-3% de los menores de 12 meses con una primoinfección VRS necesita ingreso y, de ellos, el 2-6% en cuidados intensivos. La mortalidad, en niños sanos, en países industrializados (acceso a ventilación mecánica e ingreso en cuidados intensivos) es muy baja (0-1,5%). Pero cada año fallecen en el mundo, entre 66.000 y 199.000 niños por VRS. Los principales factores de riesgo de bronquiolitis por VRS se resumen en la tabla II.
El RV es el segundo virus más frecuente. Se clasifica en tres especies: A, B y C, con más de 100 serotipos. Esta diversidad antigénica representa un gran desafío a la hora de establecer una inmunidad protectora y desarrollar vacunas. El RV tipo A, con frecuencia, causa infección del tracto respiratorio inferior, y el RV tipo C, en particular, está relacionado con sibilancias graves en niños infectados.
Circula todo el año, con mayor incidencia en primavera y otoño, causa el 80% de las BA diagnosticadas entre septiembre y octubre. Son niños de más edad, que van a guardería y que tienen, con más frecuencia, dermatitis atópica y antecedentes maternos de asma o atopia, que los lactantes con BA por VRS (Fig. 2).
Figura 2. La frecuencia de agentes etiológicos virales según la edad de los pacientes hospitalizados con el primer episodio de bronquiolitis o sibilancias. Los diagnósticos virales se basaron en la PCR (incluidas las especies de rinovirus C), excepto para el bocavirus humano que se basó en la serología. VRS: virus respiratorio sincitial; RV: rinovirus; BoV: bocavirus humano 1; MPV: metaneumovirus; PIV: virus de la parainfluenza; AdV: adenovirus; CoV: coronavirus; Gripe: influenza 8, 9, 10. Jartti T, et al. Allergy. 2019; 74: 40-52. doi: 10.1111/all.13624.
El tabaquismo en la familia se relaciona con mayor riesgo de BA por RV.
Fisiopatología
La clínica es consecuencia del efecto directo del virus sobre las células del epitelio respiratorio y de la respuesta inmunológica del huésped.
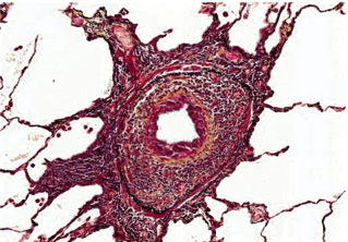
Los virus respiratorios, en general, se transmiten por contacto directo o partículas de aerosol y se replican en las células epiteliales de las vías respiratorias. Tanto las infecciones por VRS como por RV, muestran diversos mecanismos patogénicos, comunes unos y otros muy distintos. Normalmente, como resultado de la activación inmune innata, se produce rápidamente una explosión temprana de interferón (IFN) de tipo I/III después de la infección viral respiratoria. Esto será seguido por una inducción de citocinas, incluidas alarminas, quimiocinas y factores de crecimiento que activan y atraen: células linfoides innatas, granulocitos, células dendríticas y monocitos, al sitio de infección. El efecto combinado del virus y la respuesta inflamatoria conduce a: apoptosis de las células epiteliales, necrosis y desprendimiento epitelial, así como a la sobreproducción de moco. Se forman tapones y, como resultado, hay obstrucción, con zonas de atelectasia y zonas de hiperinsuflación. Esta fisiopatología explicaría la no respuesta a broncodilatadores en estos casos (Fig. 3).
Figura 3. Bronquiolitis celular: infiltrado celular mononuclear peribronquiolar que muestra un estrechamiento luminal concéntrico de la vía aérea. Pentach-rome 40, aumento 884E.R. Fernández Pérez, et al. Respiratory Medicine. 2013; 107: 883e889.
Aunque, en general, las infecciones por RV están relacionadas con la inducción de una inflamación epitelial más leve que las infecciones por VRS, tienden a reducir la expresión de IFN tipo I, y a causar inflamación tipo Th2, y niveles altos de citosinas. Todo ello da lugar a: broncoespasmo, edema y producción de moco, y conduce a la obstrucción de las vías respiratorias y sibilancias. La exposición a alérgenos, junto a la barrera epitelial deteriorada y las respuestas deficientes del interferón, dan lugar a una función pulmonar disminuida(8).
Las infecciones por VRS pueden provocar una infección grave de las vías respiratorias inferiores, principalmente en niños muy pequeños, mientras que las infecciones por RV tienden a provocar sibilancias en niños un poco mayores, en particular, aquellos con predisposición atópica. Esto apuntaría a que en función de la genética del individuo y a los mecanismos patogénicos, la clínica y la respuesta a los tratamientos serían distintos en cuanto a resultados a corto y a largo plazo, y explicarían la relación entre la BA y el Asma descrita desde hace muchos años(9).
El papel del microbioma
Las complejas comunidades de microbios que habitan todas las partes del cuerpo humano se denominan colectivamente microbioma. Este inmenso entorno microbiano tiene el potencial de estimular el desarrollo del sistema inmunológico, además de actuar como modulador de enfermedades. El vínculo entre el microbioma y la susceptibilidad a la BA, y el asma subsiguiente, se ha explorado, tanto en lo que respecta a las vías respiratorias como a nivel intestinal, pero los mecanismos detrás de los posibles efectos aún no se conocen por completo.
En lo que respecta al microbioma de las vías respiratorias, existe una continuidad microbiológica diversa entre las vías respiratorias superiores e inferiores. El desarrollo espectacular del microbioma de las vías respiratorias comienza con el nacimiento y está influenciado por factores como: hermanos, asistencia a la guardería, antibióticos e infecciones previas. Estudios recientes han sugerido, que ciertos patrones de colonización microbiana que prevalecen ya en la primera infancia, pueden afectar el riesgo de bronquiolitis y preceder al desarrollo de sibilancias persistentes o asma. Además, la gravedad de las infecciones respiratorias agudas puede estar modulada por el tipo de comunidad microbiana presente en las vías respiratorias(10).
El papel de la genética
Si bien, la infección por VRS y por RV es muy común, la bronquiolitis grave es relativamente rara. Por tanto, parece probable que factores del huésped, como la genética, también sean factores de riesgo importantes. Se han sugerido varios genes de susceptibilidad a partir de estudios de genes candidatos. La mayoría de los estudios se centran en la bronquiolitis por VRS y las asociaciones notificadas incluyen genes relacionados con la regulación inmunitaria. Varios de estos genes también se han asociado con asma, lo que sugiere que la asociación entre bronquiolitis y el desarrollo de asma posterior podría explicarse en parte, por la genética compartida. Desafortunadamente, la comprensión actual de los factores de riesgo genéticos de la bronquiolitis es limitada(11).
Clínica
El diagnóstico de la bronquiolitis es clínico. Típicamente, comienza con: síntomas de vía aérea superior, congestión y/o rinorrea, seguidos de síntomas de vía aérea inferior en el día 2-3, aumento de la frecuencia respiratoria, tiraje, sibilancias y crepitantes, con un pico en los días 5-7 y, a partir de entonces, resolución gradual.
La duración depende de: edad, gravedad, factores de riesgo y agente causante. La bronquiolitis es generalmente autolimitada. En un 50% de los pacientes, la tos se resuelve antes de 13 días, en un 90% antes de los 21 días. El distrés respiratorio mejora en 2-5 días, pero el resto de síntomas y signos pueden persistir. Se ha de tener especial atención por el riesgo de complicaciones en los niños, con los factores de riesgo que se recogen en la tabla II.
Las complicaciones a las que debemos estar atentos son:
• Apneas: son un factor de riesgo para la progresión a insuficiencia respiratoria y necesidad de ventilación mecánica. Son más frecuentes en prematuros y menores de 2 meses.
• Deshidratación: los lactantes con bronquiolitis pueden presentar dificultades para mantener una buena hidratación, debido a: aumento de necesidad de fluidos (en relación con la fiebre y la taquipnea), disminución de la ingesta oral de líquidos (en relación con la taquipnea y el esfuerzo respiratorio) y los vómitos.
• Insuficiencia respiratoria: la hipoxemia es frecuente y se asocia a tapones mucosos y atelectasias La hipercapnia se asocia a fatiga de los músculos respiratorios, requiere soporte ventilatorio adicional.
• Sobreinfección respiratoria: a excepción de la otitis media, es muy infrecuente. La sobreinfección pulmonar bacteriana ocurre en aproximadamente un 1% de los niños hospitalizados con bronquiolitis por VRS. Aun así, al 7,6% de los pacientes con diagnóstico de bronquiolitis en Atención Primaria, se les prescribió un antibiótico en los 7 días posteriores al diagnóstico (SISAP: Sistema d’Informació dels Serveis d’Atenció Primària. Cataluña. 2014).
Diagnóstico
El diagnóstico es clínico. Normalmente existe ambiente epidémico familiar de infección respiratoria(12). Los criterios diagnósticos (CD) publicados varían entre: países, diferentes guías y consensos de Sociedades Científicas. En España, hay también gran heterogeneidad. Los CD mínimos, consensuados entre los expertos en una publicación de 2019, son: primer episodio de dificultad respiratoria, con taquipnea, en cualquier estación del año, y utilidad de la identificación del virus.
Entre los pediatras clínicos es muy baja la utilización de criterios estándar, pero la mayoría consideran que se debe limitar el diagnóstico al primer episodio y a los primeros 24 meses(13).
La exploración física detecta la intensidad del trabajo respiratorio: taquipnea, aleteo, retracciones. En la auscultación pulmonar, se encuentran zonas de hipoventilación con: crepitantes, sibilancias y espiración alargada. Hay que hacer una exploración general y valorar la hidratación.
Pruebas complementarias
En general, no serán necesarias.
• Pulsioximetría: indicada para valorar al inicio, la gravedad y para controlar los cambios clínicos del compromiso respiratorio. El nivel de saturación de oxígeno (SatO2) que indica ingreso hospitalario varía según las guías entre el 90-92%. No se aconseja la monitorización continua. Diversos autores plantean que el manejo basándose únicamente en el nivel de SatO2, puede prolongar: hospitalización, ingreso en UCIP y duración de ventilación mecánica.
• Radiografía de tórax: su realización se relaciona con mayor e indebido uso de antibióticos (infiltrado versus atelectasia), ya que no hay correlación entre radiología y gravedad. Solo está indicada, si hay: mala evolución, BA grave, enfermedad de base o duda diagnóstica.
• Ecografía pulmonar: por su inocuidad, cada vez la encontraremos más en la cabecera del paciente. Podría incorporarse en los scores para el manejo, ya que ha mostrado una sensibilidad y especificidad del 100 y el 82%, respectivamente, para predecir el ingreso en UCIP. Permitiría reducir el número de ingresos en aquellos niños que ingresan en observación por su edad (< 6 semanas), si puede haber un manejo adecuado(14).
• Test de detección de virus en nasofaringe (VRS e Influenza): las guías no recomiendan la identificación rutinaria del agente causal. Entre los expertos españoles de la publicación mencionada, hubo consenso en considerar la identificación viral como útil en el diagnóstico de BA, pero no coincidían en ello los pediatras clínicos. Pensamos que, en un futuro próximo, con la generalización de los test de diagnóstico rápido (TDR) en Atención Primaria, habrá un cambio de paradigma, ya que el uso de TDR a VRS (con una sensibilidad del 90% y una especificidad del 95%), permite incidir en la familia sobre: potencial gravedad evolutiva, optimizar el manejo y aislar para evitar los brotes en guarderías y, por supuesto, en niños ingresados(15).
• La procalcitonina o la PCR podrían ser útiles cuando hay fiebre elevada y se sospeche una infección bacteriana potencialmente grave.
• Tira reactiva en orina, sedimento y urocultivo. Únicamente en aquellos lactantes con fiebre elevada (>39,5ºC), de forma persistente, ya que un 5% de los niños con BA presentan como coinfección una infección urinaria.
Diagnóstico diferencial
Clásicamente, en el diagnóstico diferencial de la BA, se consideran varias entidades que afectan al tracto respiratorio, tales como: sibilancias recurrentes por virus, asma, neumonía, infección pulmonar crónica, aspiración de cuerpo extraño, neumonía aspirativa, cardiopatía congénita, insuficiencia cardiaca y anillos vasculares. Pero si realmente nos ceñimos a los CD de BA (primer episodio), muchas de estas entidades no deberían considerarse.
Cuando la bronquiolitis es severa, puede desenmascarar una obstrucción de vía aérea preexistente (p. ej.: anillo vascular). Las manifestaciones clínicas ayudan a distinguir algunas de estas entidades de la bronquiolitis (p. ej.: ausencia de síntomas de vía aérea superior inicial, episodio de atragantamiento, estancamiento ponderal, cronicidad, etc.), para otras, es necesario el uso de pruebas de imagen o de laboratorio.
En los lactantes con apneas como único síntoma de inicio, sobre todo en los menores de dos meses, hay que descartar tos ferina.
Manejo de la bronquiolitis aguda
Cada vez hay más y mejor evidencia, a partir de las guías de práctica clínica (GPC), de que no existe tratamiento farmacológico (broncodilatadores inhalados, adrenalina nebulizada, corticoides inhalados u orales, antibiótico, bromuro de ipratropio, ni suero hipertónico) que modifique el curso de la BA, ni reduzca la tasa de ingresos ni la duración de la hospitalización.
El manejo va a depender del grado de afectación. Se debe valorar: anamnesis, exploración física, SatO2, factores de riesgo para evolución grave y signos de enfermedad grave (Tablas II y III).
Existen varias escalas para valorar la gravedad BA; recientemente, se ha validado la escala de TAL(16)(Tabla IV).
Cada pediatra debe familiarizarse con el manejo de una de ellas. Antes de valorar la gravedad, hay que aspirar las secreciones de vías altas para mejorar la respiración nasal. La mejor evaluación es la valoración clínica repetida.
Hay varias iniciativas en marcha, para intentar difundir el mensaje de las GPC a pediatras de urgencias y de AP (Campaña del País Vasco “BA: menos es más” y en Madrid “No hacer en la BA”). Si se siguieran las GPC, se lograría un descenso del uso de fármacos y de recursos diagnósticos(17).
El tratamiento consiste en conseguir una buena hidratación y oxigenación del niño, mientras la BA evoluciona a la curación espontánea(18,19) (ver algoritmo al final del artículo).
• En la BA leve:
- Evitar el humo de tabaco y otros contaminantes ambientales.
- Mantener la hidratación, tomas breves, pero frecuentes.
- Lavados nasales, si los mocos causan dificultad para respirar.
- Posición semisentado a 30° para mejorar la respiración.
- Explicar a los padres la enfermedad y cuáles son los motivos por los que tienen que consultar o acudir a urgencias (Tabla V).
• En la BA moderada/ grave:
- Además de las medidas de mantenimiento, se considerará la necesidad de oxigenoterapia con gafas nasales/mascarilla.
- A nivel hospitalario y de forma no rutinaria, la nebulización de suero salino fisiológico o adrenalina, valorando siempre la respuesta individual al tratamiento(20).
Respecto al salbutamol inhalado, existe controversia. Parece claro que la evidencia no lo avala en el tratamiento de la BA. No obstante, muchas publicaciones parecen indicar que algún tipo de BA responde a la prueba terapéutica. Son, sobre todo, los niños mayores descritos con BA por RV y con una genética de atopia. En los próximos años, se irá conociendo más de esta relación, y de los fenotipos y endotipos de la BA y del asma, avanzando en el camino de una medicina personalizada que pueda identificar a esos pacientes concretos(21,22).
Medidas preventivas
Como para todos los virus respiratorios, se recomienda el lavado frecuente de manos y evitar el contacto de niños y adultos que padezcan cuadros catarrales con los lactantes.
La única intervención disponible para prevenir enfermedades graves en niños de alto riesgo es la administración del anticuerpo monoclonal humanizado anti-VRS Palivizumab. Las Sociedades de Neonatología lo recomiendan como immunoprofilaxis (aunque las GPC ponen en cuestión su eficacia). Nuevos Ac monoclonales de vida media extendida están en ensayos clínicos, en este momento.
Actualmente, hay en desarrollo clínico, vacunas contra el VRS que utilizan cuatro enfoques: basadas en partículas, vivas atenuadas o quiméricas, de subunidades y de vectores vivos que portan genes que codifican proteínas de VRS. Otra estrategia en evaluación, es inmunizar a las mujeres embarazadas para transferir altos títulos de anticuerpos protectores al bebé antes del nacimiento.
Por último, se están evaluando nuevos antivirales y nanopartículas con acción frente a VRS, específicamente en población pediátrica.
En la próxima década, podremos esperar que varios de estos candidatos puedan estar en manos de los clínicos.
Bronquitis
La bronquitis aguda es de etiología vírica y curso autolimitado. La bronquitis crónica se da en niños con patología respiratoria de base. La bronquitis bacteriana persistente forma parte del diagnóstico diferencial de la tos crónica.
Bronquitis aguda
La bronquitis aguda es un síndrome clínico producido por la inflamación de: tráquea, bronquios y bronquiolos. En los niños, se asocia a una infección viral del tracto respiratorio inferior. Suele tener un patrón estacional que predomina en los meses de invierno. Los síntomas son tos productiva y, en ocasiones, dolor retroesternal con las respiraciones profundas o la tos. El curso clínico es generalmente autolimitado, con recuperación completa a los 10-14 días del inicio de los síntomas.
Los agentes infecciosos causantes de bronquitis aguda son, en un 90%, virus (adenovirus, influenza, parainfluenza, VRS, rinovirus, bocavirus, coxackie, herpes simple). En un 10%, se trata de infecciones bacterianas (Streptococcus pneumoniae, Haemophilus influenzae, Moraxella catarrhalis, Mycoplasma pneumoniae y Chlamydia pneumoniae). Es importante subrayar que las bronquitis agudas bacterianas son excepcionales fuera de los pacientes fumadores, con fibrosis quística o inmunodeprimidos. Rara vez, puede producirse por otros agentes infecciosos (hongos) o por agentes no infecciosos (alergias, aspiraciones o reflujo gastroesofágico).
La traqueítis bacteriana es una entidad: específica, infrecuente, equivalente a una forma de infección bacteriana invasora, que puede constituir: una verdadera urgencia médica, requiere ingreso hospitalario y tratamiento antimicrobiano agresivo.
Bronquitis crónica
La bronquitis crónica es una inflamación recurrente con deterioro secundario de la vía aérea. Los pacientes con bronquitis crónica tienen más secreciones de lo normal, por aumento de producción y/o déficit de aclaramiento. Se asocia con frecuencia a: asma, fibrosis quística, discinesia ciliar primaria, aspiración de cuerpo extraño y exposición a agentes irritantes de la vía aérea. Los contaminantes del aire, como los que ocurren en el tabaquismo y el humo de segunda mano, también causan bronquitis crónica. La exposición al humo del cigarrillo en el útero y después del nacimiento en el hogar, está estrechamente relacionada con el asma y la bronquitis recurrente en los niños. Existen bronquitis recurrentes también en portadores de traqueotomía e inmunodeprimidos.
Los agentes infecciosos más frecuentes causantes de bronquitis crónica son:
• En menores de 6 años: Streptococcus pneumoniae, Haemophilus influenzae y Moraxella catarrhalis.
• En mayores de 6 años: Mycoplasma pneumoniae.
• En ciertas patologías de base crónicas (traqueotomía, etc.) pueden presentarse, otros microorganismos como: Pseudomonas aeruginosa y Staphylococcus aureus (incluido el meticilín-resistente).
El tratamiento consiste en: adecuada hidratación, evitar humo del tabaco, antitérmicos y antibióticos, en caso de sospecha de infección bacteriana. Si asocia sibilancias o clínica de hiperreactividad bronquial, se pueden utilizar broncodilatadores o corticoides. Estos niños deben estar correctamente vacunados y se recomienda una exhaustiva educación sanitaria en función de la patología de base que presenten(23-24).
Bronquitis bacteriana persistente (BBP)
Se caracteriza por una tos húmeda que persiste durante, al menos, 3-4 semanas y se resuelve con terapia antimicrobiana. La clínica comienza habitualmente con un cuadro catarral y, posteriormente, una infección respiratoria baja que puede asociar fiebre, y cuyos síntomas se resuelven a excepción de la tos. Con frecuencia, han recibido antibióticos en pautas cortas que les mejoran, pero a los pocos días de finalizarlos la tos reaparece. El diagnóstico es clínico, basado en la anamnesis y la exploración física (que suele ser normal salvo tos húmeda). Se debe plantear diagnóstico diferencial con otras causas de tos prolongada. Se especula que una infección viral inicial altera la función respiratoria epitelial y ciliar, lo que lleva a una inflamación crónica que da lugar a la formación de biopelículas bacterianas, que dificultan la erradicación bacteriana. Si no se trata, la BBP puede provocar una enfermedad pulmonar supurativa crónica o bronquiectasias. La broncoscopia muestra: edema, aumento de las secreciones bronquiales y cultivo bacteriano positivo, después del lavado broncoalveolar. La biomasa bacteriana, el porcentaje de neutrófilos, los niveles de interleucina (IL) IL-8 e IL-1-beta son significativamente más altos en niños con BBP. Los gérmenes aislados son: Streptococcus pneumoniae, Haemophilus influenzae no tipable y Moraxella catarrhalis y, frecuentemente, se aíslan varios de ellos. El tratamiento debe hacerse con un antibiótico de amplio espectro durante 4 semanas. La pauta más utilizada es amoxicilina-clavulánico a 80-100 mg/kg/día. Se recomienda una mayor investigación/diagnóstico diferencial en aquellos pacientes que no experimentan una mejoría clara de los síntomas tras el tratamiento antibiótico(25-26).
Bibliografía
Los asteriscos muestran el interés del artículo a juicio de la autora.
1.** García ML, Korta J, Callejón A. Bronquiolitis aguda viral. Protoc diag ter pediatr. 2017; 1: 85-102.
2.** Duelo Marcos M. Bronquiolitis aguda: ¿seguimos la evidencia científica? Congreso de Actualización Pediatría 2020. Madrid: Lúa Ediciones 3.0; 2020. p. 77-85.
3. Agència d ‘Avaluació de Tecnologia i Recerca Mèdiques. Antibióticos en bronquitis en población pediátrica. Essencial. Departament de Salut. Generalitat de Cataunya. Barcelona. Febrero 2016. Accesible en: http://essencialsalut.gencat.cat/ca/detalls/Article/antibiotics_lactants_nov2015_essencial.
4. Muñoz C, López M, Úbeda I, Alemán S, Pérez S, Puig J, et al. Population-based analysis of bronchiolitis epidemiology in Valencia, Spain. Pediatr Infect Dis J. 2016; 35: 275-80.
5. Gil R, González A, Marín P, Gallardo C, Gil A. Respiratory syncytial virus bronchiolitis in children up to 5 years of age in Spain: epidemiology and comorbidities. Medicine (Baltimore). 2015; 94: e831.
6. http://elolaconsultores.com/documentos/Iniciativa_Estrategica_VRS.pdf. Consulado 9/11/20.
7. Bronquitis y bronquiolitis. Pérez Sanz J. Pediatr Integral. 2016; XX(1): 28-37.
8.*** Jartti T, Smits H, Bønnelykke K, Ozlem Bircan O, Elenius V, Konradsen J, et al. Bronchiolitis needs a revisit: Distinguishing between virus entities and their treatments Allergy. 2019; 74: 40-52. DOI: (10.1111/all.13624).
9. Pavord ID, Beasley R, Agusti A, Anderson GP, Bel E, Brusselle G, et al. After asthma: redefining airways diseases. A Lancet Comission. Lancet. 2018; 391: 350-400.
10. Hasegawa K, Mansbach JM, Ajami NJ, Espinola JA, Henke DM, Petrosino JF, et al. Association of nasopharyngeal microbiota profiles with bronchiolitis severity in infants hospitalized for bronchiolitis. Eur Respir J. 2016; 48: 1329-39.
11. Restori KH, Srinivasa BT, Ward BJ, Fixman ED. Neonatal immunity, respiratory virus infections, and the development of asthma. Front Immunol. 2018; 9: 1249.
12.*** National Institute for Health and Care Excellence (NICE). Bronchiolitis in children: diagnosis and management. NICE Guideline. Acceso el 3 de noviembre de 2020. Disponible en: https://www.nice.org.uk/about/what-we-do/our-programmes/nice-guidance/nice-guidelines.
13.*** Cano A, Praena M, Mora I, Carvajal I, Callén MT, García Á, et al. Heterogeneidad de criterios en el diagnóstico de bronquiolitis aguda en España. An Pediatr (Barc). 2019; 90: 109-17.
14. Özkaya AK, Yilmaz HL, Kendir ÖT, Gökay SS, Eyübog?lu I?. Lung ultrasound findings and bronchiolitis ultrasound score for predicting hospital admission in children with acute bronchiolitis. Pediatr Emerg Care. 2020; 36: e135-e142.
15.** De la Flor Brú J, Mares Bermúdez J. Test de diagnóstico microbiológico rápido en la consulta de Pediatría de Atención Primaria. Pediatr Integral 2018; XXII(5): 246.e1-246.e9.
16. Golan-Tripto I, Goldbart A, Akel K, Dizitzer Y, Novack V, Tal A. Modified Tal Score: Validated score for prediction of bronchiolitis severity. Pediatric Pulmonology; 2018. p. 1-6.
17. Jiménez R, Andina D, Palomo B, Escalada S, De la Torre M. Impacto en la práctica clínica de un nuevo protocolo de bronquiolitis aguda. An Pediatr (Barc). 2019; 90: 79-85.
18.*** Cavaye D, Roberts DP, Saravanos GL, Hsu ZY, Miyajima R, Randall LE, et al. Evaluation of national guidelines for bronchiolitis: AGREEments and controversies. J Paediatr Child Health. 2019; 55: 25-31. doi: 10.1111/jpc.14160. Epub 2018 Aug 9. PMID: 30094877.
19. Callén M, Praena M, García A, Mora I, Grupo de Vías Respiratorias. Protocolo de bronquiolitis: diagnóstico y tratamiento en Atención Primaria. Protocolo del GVR (publicación P-GVR-4). Acceso el 5 noviembre de 2020. Disponible en: https://www.respirar.org/index.php/grupo-vias-respiratorias/protocolos.
20. Benito Fernández J, Paniagua Calzón N. Diagnóstico y tratamiento de la bronquiolitis aguda en urgencias. En: Protocolos diagnósticos y terapéuticos en urgencias. Sociedad española de Urgencias de Pediatría, 3ª edic. 2019. Disponible en: https://seup.org/pdf_public/pub/protocolos/5_Bronquio.pdf.
21. Waseem M, Akobo SI, Shaikh F, De la Cruz A, Henriquez W, Leber M. Factors Predicting Asthma in Children With Acute Bronchiolitis. Pediatr Emerg Care. 2019; 35: 265-7.
22. Nino G, Rodríguez-Martínez CE, Castro-Rodríguez JA. The use of β2-adrenoreceptor agonists in viral bronchiolitis: scientific rationale beyond evidence-based guidelines. ERJ Open Res. 2020; 6: 00135-2020. Disponible en: https://doi.org/10.1183/23120541.00135-2020.
23. Rossey I, Saelens X. Vaccines against human respiratory syncytial virus in clinical trials, where are we now? Expert Review of Vaccines. 2019; 18: 1053-67. DOI: 10.1080/14760584.2019.1675520.
24. Albi Rodríguez MS, Reig Rincón de Arellano I. Bronquitis (traqueobronquitis) aguda (v.2.0/2019). Guía-ABE. Infecciones en Pediatría. Guía rápida para la selección del tratamiento antimicrobiano empírico (en línea) (actualizado el 6 de mayo de 2019); consultado el 9 de noviembre de 2020. Disponible en: http://www.guia-abe.es.
25. Carolan PL, Sharma GD. Pediatric bronchitis, eMedicine (actualizado el 22 de enero de 2019). Consultado el 2 de noviembre de 2020. Disponible en: http://emedicine.medscape.com/article/1001332-overview.
26. Albañil Ballesteros MR, Martínez Chamorro MJ. Grupo de Patología Infecciosa de la Asociación Española de Pediatría de Atención Primaria. Revisores: Manuel Praena Crespo, Alberto Bercedo Sanz, Grupo de Vías Respiratorias de la Asociación Española de Pediatría de Atención Primaria. 2016. Bronquitis bacteriana prolongada. Disponible en: https://aepap.org/grupos/grupo-depatologia-infecciosa/contenido/documentos-del-gpi.
Bibliografía recomendada
– Cavaye D, Roberts DP, Saravanos GL, Hsu ZY, Miyajima R, Randall LE, et al. Evaluation of national guidelines for bronchiolitis: AGREEments and controversies. J Paediatr Child Health. 2019; 55: 25-31. doi: 10.1111/jpc.14160. Epub 2018 Aug 9. PMID: 30094877.
Evaluación y comparación entre guías nacionales, que muestra la heterogeneidad de criterios diagnósticos y reflejan la evidencia equivoca sobre los distintos tratamientos.
– Jartti T, Smits H, Bønnelykke K, Ozlem Bircan O, Elenius V, Konradsen J, et al. Bronchiolitis needs a revisit: Distinguishing between virus entities and their treatments Allergy. 2019; 74: 40-52. DOI: (10.1111/all.13624).
Mirada distinta, haciendo incidencia en los distintos mecanismos fisiopatológicos en función de los virus causantes de la bronquiolitis y de las características de cada lactante (genética, epigenética, microbioma).
– Carolan PL, Sharma GD. Pediatric bronchitis, eMedicine (actualizado el 22 de enero de 2019). Consultado el 2 de noviembre de 2020. Disponible en: http://emedicine.medscape.com/article/1001332-overview.
Repaso general extenso y actualizado al tema de la bronquitis.
| Caso clínico |
|
Acude a la consulta de Atención Primaria una lactante de 5 meses que consulta por presentar en las últimas 48 horas: rinorrea clara, tos y le han termometrado 37,5ºC. Desde hace unas horas, la familia cree que le cuesta respirar. Ha tomado pecho sin problemas. Antecedentes personales Recién nacida a término de peso adecuado para su edad gestacional. Correctamente inmunizada. Lactancia materna exclusiva. Antecedentes familiares Padre con asma alérgico a ácaros hasta la adolescencia. Actualmente, rinitis perenne y alergia alimentaria a marisco. Dos hermanos de 3 y 5 años sanos. El menor presenta mocos y tos productiva en los últimos dos días y esta mañana está más decaído y se queja de dolor retroesternal en la respiración profunda. Exploración física Buen estado general. Alegre y reactiva. Relleno capilar menor de 2 segundos. No presenta exantemas. Rinorrea acuosa abundante. Tiraje subcostal e intercostal leves; frecuencia respiratoria: 46 rpm. Auscultación cardiaca: rítmica, sin soplos. Auscultación pulmonar: buena ventilación bilateral, crepitantes secos difusos en todos los campos pulmonares, más marcados en ambas bases. Abdomen blando y depresible, sin masas ni visceromegalias palpables. Hiperemia faríngea, otoscopia bilateral normal, no se palpan adenopatías. Temperatura: 37ºC. SpO2: 96%.
|











Persistent cough