![]() |
| Temas de FC |
A. Lassaletta Atienza
Servicio de Hemato-Oncología Pediátrica. Hospital Universitario Niño Jesús. Madrid
| Resumen
Las leucemias agudas constituyen el grupo de neoplasias más frecuentes en la edad pediátrica. La leucemia linfoblástica aguda (LLA) comprende el 80% de todas las leucemias agudas en este grupo de edad. Aunque la etiología se desconoce, se han descrito algunos factores predisponentes genéticos, virales y ambientales. Las manifestaciones clínicas suelen ser la consecuencia de la ocupación de la médula ósea por las células leucémicas (anemia, trombopenia y neutropenia). El diagnóstico se realiza mediante el análisis morfológico, citogenético y molecular del aspirado de médula ósea. El tratamiento dura aproximadamente dos años. El pronóstico de los niños con LLA ha mejorado espectacularmente en las últimas décadas gracias a los nuevos fármacos y al tratamiento adaptado al riesgo de los pacientes. En la actualidad, la tasa de curación global de las LLA se aproxima al |
| Abstract
Acute leukemia is the most common type of cancer in children. Acute lymphoblastic leukemia (ALL) accounts for 80% of the total number of cases of acute leukemia among children. The etiology of acute leukemia is unknown, but many predisposing genetic, environmental, and viral factors have been implicated. The clinical manifestations of leukemia are a direct result of the marrow invasion and resultant cytopenias (anemia, thrombocytopenia, and leukopenia). The diagnosis of acute leukemia requires the presence of 25% or more blasts in the bone marrow. Treatment lasts for a minimum of two years. The outcome for children with ALL has improved dramatically with current therapy resulting in an event free survival exceeding 80-90% for most patients. |
Palabras clave: Leucemia aguda linfoblástica; Pediatría; Tratamiento; Diagnóstico.
Key words: Acute lymphoblastic leukemia; Children; Treatment; Diagnosis.
Pediatr Integral 2012; XVI(6): 453-462
Leucemias. Leucemia linfoblástica aguda
Introducción
La leucemia linfoblástica aguda (LLA) es la neoplasia más frecuente en la infancia, constituyendo el 80% de todas las leucemias agudas de la edad pediátrica. El 25 y el 19% de todos los tumores en menores de 15 y 19 años, respectivamente, son LLA. La supervivencia de los pacientes con LLA se ha incrementado notablemente en las últimas décadas, pasando de una supervivencia de menos del 10% en los años sesenta a presentar, con los tratamientos actuales, una supervivencia libre de enfermedad superior al 80% en la mayoría de los casos. Las publicaciones más recientes sitúan la supervivencia global a 5 años de los pacientes con LLA en un 91%(1,2). A pesar de estos excelentes resultados, todavía un pequeño grupo de pacientes, en torno al 10-20%, fracasan en el tratamiento. Para estos pacientes, son necesarias nuevas estrategias que nos permitan conocer y seleccionar aquellos con mayor riesgo de recaída(2). Uno de los aspectos que más preocupan en la actualidad es la toxicidad de los tratamientos a largo plazo en los supervivientes de LLA.
La leucemia mieloblástica aguda (LMA), aunque no es tan frecuente como la LLA (tan sólo el 15-25% de las leucemias pediátricas), es la responsable del 30% de las muertes por leucemia en la edad pediátrica. Esto es debido a la peor respuesta al tratamiento quimioterápico, al mayor número de complicaciones hemorrágicas al diagnóstico y a la necesidad de tratamientos más agresivos, como el trasplante de progenitores hematopoyéticos. También en los últimos años se está avanzando mucho en la curación de estos pacientes. Los resultados de los últimos protocolos americanos (del Hospital Saint Jude) han conseguido una supervivencia global a los 3 años del 71% y una supervivencia libre de eventos a los 3 años del 63%. Un subtipo de LMA, caracterizada por su buen pronóstico, es la LMA promielocítica (M3). En esta leucemia, que comprende el 5-10% de las LMA, se añade al tratamiento quimioterápico el ácido transretinoico (ATRA). El ATRA disminuye notablemente el riesgo de complicaciones hemorrágicas (muy típicas de la leucemia promielocítica) y favorece la maduración de las células leucémicas, mejorando el pronóstico de la enfermedad. En la tabla I, se describen las diferencias entre las LLA y las LMA.

Leucemia linfoblástica aguda
Epidemiología
La leucemia aguda linfoblástica es la forma más frecuente de presentación del cáncer en la edad infantil.
La LLA constituye el 25% de los tumores y el 75% de las leucemias en la edad pediátrica. El pico de incidencia máximo se establece entre los dos y los cinco años de edad(3). En cuanto al sexo, la LLA predomina ligeramente en los varones, sobre todo en la edad puberal. Las diferencias geográficas son notables en esta enfermedad; mientras que, en los países menos desarrollados, como Norte de África y Oriente Medio, predominan los linfomas y las LLA de estirpe T, en los países industrializados la LLA de estirpe B es, con diferencia, la más frecuente de las hemopatías malignas(4,5). Este hecho se ha relacionado con la mayor facilidad para la exposición a determinados agentes medioambientales “leucemógenos” en los países industrializados. En los países con poblaciones heterogéneas, se ha observado una mayor incidencia de LLA en la raza blanca.
Fisiopatología
La LLA es la consecuencia de la transformación maligna de una célula progenitora linfoide inmadura que tiene la capacidad de expandirse y formar un clon de células progenitoras idénticas bloqueadas en un punto de su diferenciación.
Como en toda enfermedad neoplásica, la secuencia de acontecimientos que derivan en la transformación maligna de una célula es multifactorial. En el caso de la LLA, estos eventos se producen durante el desarrollo de la estirpe linfoide. Estos precursores linfoides presentan una alta tasa de proliferación y de reordenamientos genéticos; características que favorecen la aparición de mutaciones espontáneas y de otras alteraciones citogenéticas que facilitan la transformación maligna(4,5).
En más del 75% de las LLA de pacientes pediátricos, se pueden detectar anomalías genéticas primarias. Los modelos experimentales nos han permitido conocer que, para que se desarrolle una leucemia, son necesarias varias alteraciones genéticas. Los estudios de Mullinghan han identificado una media de 6 alteraciones en las copias de DNA en los casos de LLA infantil(6).
Los factores genéticos tienen un papel cada vez más importante en la etiología de las leucemias agudas. Esta afirmación esta basada en: 1) existe una estrecha asociación de las LLA y algunas translocaciones cromosómicas (Tabla II); 2) la frecuencia de leucemia aguda es mayor en los familiares de pacientes con LA; y 3) determinadas enfermedades genéticas cursan con mayor incidencia de LA (síndrome de Down, Klinefelter, neurofibromatosis, Schwachman, Bloom, Fanconi, etc.)(5,6).
Entre los factores medioambientales que pueden facilitar el desarrollo de leucemia, destaca la exposición a las radiaciones ionizantes. El aumento de incidencia de leucemia entre los supervivientes de Hiroshima y Nagasaky se relacionó con la proximidad a la explosión. Se cree que el 1% de las leucemias en el adulto son secundarias a las pruebas radiológicas realizadas durante su vida. Existe controversia sobre si los campos electromagnéticos (teléfonos móviles, torres de alta tensión, etc.) incrementan o no el riesgo de leucemia. De momento, los estudios realizados no han encontrado una clara asociación. La exposición a diferentes productos químicos, como el benceno, se ha asociado a LMA en el adulto. También, la quimioterapia, utilizada para el tratamiento de distintos tumores, puede tener efecto leucemógeno (por ejemplo, los agentes alquilantes o los inhibidores de la topoisomerasa II). En el estudio de la LLA, en el menor de un año con reordenamiento del gen MLL, se ha observado que esta alteración genética aparece con alta frecuencia en aquellas leucemias agudas secundarias a la exposición a agentes inhibidores de la topoisomerasa II. A partir de esta observación, se ha desarrollado la hipótesis de que sustancias en la dieta, medicamentos o en el ambiente que inhiban las topoisomerasas y la capacidad reducida del feto o de la madre de eliminar estas sustancias podrían aumentar el riesgo de desarrollar leucemia aguda en el lactante(5).
Se ha dado mucha importancia al papel de los virus en el estudio de la etiología de las leucemias. Esto es debido a que la mayoría de las LLA se producen en un periodo de la vida en el cual el sistema inmune está en desarrollo y podría ser más susceptible a los efectos oncogénicos de determinados agentes virales. Hasta el momento, el virus de Ebstein-Barr en la LLA-L3 y los HTLV I y II en algunos casos de leucemias del adulto, han sido los únicos con una clara asociación(5).
Clasificación
Existen distintas formas de clasificar las LLA. La que se utiliza en la actualidad distingue las LLA según el estadio madurativo de sus blastos y tiene implicaciones pronósticas.
Morfológica
Se han realizado múltiples clasificaciones morfológicas de las LLA. Sólo una, la realizada por el grupo de trabajo Francés-Americano-Británico (FAB), tiene una aceptación universal, aunque en la actualidad se utiliza poco.
Inmunobiológica
La aparición de los anticuerpos monoclonales y las mejoras en las técnicas de citometría de flujo y de reacción en cadena de la polimerasa han permitido clasificar las LLA en distintos tipos según el estadio madurativo de sus linfoblastos (Fig. 1). Esta clasificación es la más utilizada en la actualidad y tiene implicaciones pronósticas y terapéuticas.
Figura 1. Modelo de diferenciación linfocitaria basado en los estados de maduración y desarrollo, por la presencia de antígenos en la superficie celular identificados por anticuerpos monoclonales y por la expresión de inmunoglobulinas en el citoplasma o en la superficie.
Citogenética
Los avances de las técnicas y conocimientos de la biología molecular de los últimos años han permitido identificar casi el 100% de las anomalías citogenéticas de las células leucémicas. Estas pueden afectar al número total de cromosomas o a su estructura. Se ha comprobado que la hiperdiploidía (aumento del número de cromosomas >51) en los linfoblastos es un factor de buen pronóstico. En la actualidad, sabemos que esto, probablemente, es debido a que las células leucémicas hiperdiploides tienen una mayor predisposición a la apoptosis, porque son capaces de acumular mayor concentración de metabolitos activos del metotrexato (poliglutamatos) y por ello son más sensibles a este fármaco. De todas las anomalías cromosómicas estructurales, las translocaciones son las más frecuentes(6) (Tabla II).

Clínica
Los síntomas iniciales al diagnóstico suelen ser la consecuencia de la infiltración de los linfoblastos en la médula ósea: anemia, trombopenia, leucopenia, dolores óseos, etc.
La presentación clínica de los pacientes con LLA refleja la infiltración de la médula ósea por parte de los blastos y la extensión extramedular de la enfermedad. Los síntomas más frecuentes al diagnóstico son aquellos relacionados con la insuficiencia medular: anemia (palidez, astenia), trombopenia (equimosis, petequias) y neutropenia (fiebre). En la tabla III, se describen los síntomas y los datos analíticos más frecuentes en pacientes con LLA. Raras veces las LLA se presentan con pancitopenia severa. En este caso, siempre deberemos realizar el diagnóstico diferencial con la aplasia de médula ósea. El 65% de los pacientes con LLA presentan algún grado de hepatoesplenomegalia, que suele ser asintomática. La duración de los síntomas en pacientes con LLA puede ser de días e, incluso, meses. La anorexia es frecuente, pero no la pérdida de peso significativa. A veces, como consecuencia de la infiltración de la MO, estos pacientes presentan dolores en huesos largos e, incluso, artralgias que pueden confundirnos con enfermedades reumatológicas (hasta el 25% de los pacientes que debutan con LLA presentan dolores osteoarticulares)(4,5).

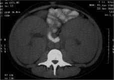
La presentación clínica de las LLA de estirpe T (un 15% del total de LLA) posee unos rasgos característicos. Los pacientes son, generalmente, de mayor edad y presentan recuentos leucocitarios mayores al diagnóstico. No es raro que estos niños debuten con una masa mediastínica (Fig. 2) y tienen una incidencia mayor de afectación del SNC al diagnóstico. En las figuras 3 y 4, se pueden observar otras manifestaciones clínicas de las LLA(7).
Figura 2. Rx de tórax de una niña de 2 años con una leucemia linfoblástica aguda T.
Figura 3. Niña de 14 años con LLA de estirpe T e infiltración renal masiva al diagnóstico.
Figura 4. Lactante de 2 meses con infiltración cutánea al diagnóstico de una LLA-B. Se aprecia tumoración de partes blandas por infiltración leucémica.
Diagnóstico
La confirmación del diagnóstico se realiza mediante el estudio morfológico, citogenético y molecular del aspirado de médula ósea.
Ante un niño con sospecha de leucemia, debemos realizar una buena anamnesis en busca de signos y síntomas compatibles con el fracaso hematopoyético o la infiltración extramedular. La exploración debe ser exhaustiva y minuciosa. Se debe explorar la presencia de equimosis, petequias, adenopatías, palidez cutánea…, se deben palpar hígado y bazo, realizar una buena exploración neurológica y, en los varones, debemos palpar siempre los testículos(8).
En la mayoría de los pacientes que se diagnostican de LLA, lo primero que se realiza y que confirma las sospechas es un hemograma. En él nos encontramos con una leucocitosis a expensas de linfoblastos en un 50% de los casos aproximadamente, anemia en el 80% y trombopenia (con menos de 100 x 109/L plaquetas) en el 75% de los casos. En la extensión de la sangre periférica al microscopio, se suelen observar los linfoblastos (aunque no siempre aparecen). El diagnóstico definitivo de una leucemia aguda siempre se debe realizar mediante el análisis morfológico, molecular y citogenético del aspirado de la MO. Nunca deberemos iniciar un tratamiento sin haber obtenido una muestra de MO. La presencia de al menos un 25% de blastos en la MO confirmará el diagnóstico. El subtipo de LLA se definirá con los estudios morfológicos, de biología molecular y citogenéticos de dicho aspirado. Se realizará examen del líquido cefalorraquídeo siempre en toda leucemia al diagnóstico, para descartar la afectación inicial del SNC. Una radiografía de tórax inicial nos permitirá conocer la existencia de una masa mediastínica. Otros estudios que se realizan al diagnóstico son: ecografía abdominal, estudio cardiológico (previo al tratamiento que incluye fármacos cardiotóxicos), bioquímica sanguínea (incluyendo LDH, ácido úrico, calcio, fósforo, transaminasas, etc.), estudio de coagulación, serologías (hepatitis viral, VIH, herpes, CMV, etc.) e inmunoglobulinas. Si el paciente presenta fiebre, se deben obtener cultivos de sangre, orina y de cualquier lesión sospechosa e iniciar el tratamiento antibiótico adecuado(5).
Diagnóstico diferencial
El diagnóstico diferencial de las LLA debe incluir enfermedades no neoplásicas, como: la artritis crónica juvenil, la mononucleosis infecciosa (presencia de linfocitos activados), la púrpura trombocitopénica idiopática (presencia de trombopenia aislada de origen autoinmune), anemia aplásica (se debe realizar biopsia de MO), linfocitosis secundaria a una infección aguda viral, síndrome hipereosinofílico, etc. También, otros tumores de la edad pediátrica pueden confundirnos en nuestro diagnóstico. Es el caso del neuroblastoma, retinoblastoma o del rabdomiosarcoma, que, por sus localizaciones, podrían sugerir infiltración leucémica en esas localizaciones(5).
Tratamiento
El tratamiento de los pacientes con LLA está adaptado al riesgo del paciente al diagnóstico y comprende tres fases: inducción, intensificación (consolidación) y mantenimiento. La duración total es de dos años.
En 1948, el pediatra americano Sydney Farber publicó sus primeros estudios en los que demostró que la aminopterina (análogo del ácido fólico) podía inducir remisiones en pacientes con LLA. En la actualidad, más del 80% de los niños con LLA se curan de su enfermedad.
La tendencia actual es realizar un tratamiento adaptado al riesgo de cada paciente recientemente diagnosticado de LLA; es decir, vamos a administrar un tratamiento más intensivo al paciente que tiene mayor riesgo de recaída al diagnóstico y vamos a tratar de no sobretratar al paciente de riesgo estándar. Para ello, debemos clasificar a los pacientes en grupos de riesgo(8).
Factores pronósticos
Actualmente, el factor pronóstico más importante de las LLA es la respuesta precoz al tratamiento, cuantificado por la enfermedad mínima residual (EMR). La respuesta precoz al tratamiento refleja las características genéticas de los linfoblastos, las características farmacodinámicas y farmacogenéticas del paciente y el efecto de la quimioterapia sobre las células. Factores pronósticos históricamente importantísimos, como la edad y el número de leucocitos al diagnóstico, con los nuevos tratamientos basados en el seguimiento por EMR, están empezando a ser cuestionados. Los pacientes con una edad inferior a un año continúan teniendo un pronóstico claramente peor que el resto de los pacientes. Algunas anomalías cromosómicas, como la t(9:22) o la t(4:11) presentaban muy mal pronóstico. Actualmente, tras la adición a la quimioterapia de los inhibidores de la tirosín cinasa, como el imatinib, el pronóstico de los pacientes con LLA Phi+ t(9;22) ha mejorado espectacularmente, dejando de ser, en el momento actual, una indicación de trasplante de progenitores hematopoyéticos. Los pacientes que tras las primeras 4-6 semanas que dura la inducción no presentan remisión completa, tienen una alta tasa de recaída y una supervivencia libre de enfermedad muy reducida(9-11).
Grupos de riesgo
Atendiendo a los factores pronósticos, estos grupos de pacientes podrían dividirse en cuatro apartados(12):
• “Bajo” riesgo: LLA de estirpe celular B, edad entre 1 y 9 años, recuento leucocitario inicial menor de 50 x 109/L y presentar la fusión TEL-AML1 y/o hiperdiploidia (trisomías 4, 10 y/o 17). Los pacientes que cumplen estos criterios tienen un pronóstico excelente.
• Riesgo estándar: las mismas características que el grupo de bajo riesgo pero sin presentar las alteraciones citogenéticas (fusión TEL-AML1 o trisomías).
• Alto riesgo: resto de los pacientes con LLA de estirpe B y pacientes con LLA de estirpe T.
• Pacientes de muy alto riesgo: este grupo lo constituyen un reducido número de pacientes, constituido principalmente por los enfermos que no tienen una buena respuesta a la quimioterapia, no alcanzando la remisión completa tras la inducción o manteniendo cifras de EMR elevadas durante el tratamiento.
• Lactantes: la leucemia en el lactante (niños menores de un año), por su peor pronóstico, se considera un grupo de riesgo aparte. La supervivencia libre de enfermedad y la supervivencia global en el mayor estudio multicéntrico realizado (INTERFANT 99) son del 46,4% y 53,8%, respectivamente, a los 5 años. El trasplante de progenitores hematopoyéticos se ha demostrado como una buena alternativa terapéutica en la leucemia del lactante, sobre todo en aquellos pacientes de máximo riesgo (menores de 6 meses, con reordenamiento MLL y/o con hiperleucocitosis al diagnóstico)(13,14).
Tratamiento
Se recomienda que la evaluación inicial y el tratamiento posterior de los pacientes pediátricos y adolescentes con LLA se realicen en centros especializados de hemato-oncología infantil. Aunque, como hemos explicado, el tratamiento está dirigido a los distintos grupos de riesgo, en todos ellos comprende las fases de inducción, intensificación (consolidación) y mantenimiento.
Inducción
El objetivo de la inducción es erradicar más del 99% de las células leucémicas iniciales y restaurar una hematopoyesis normal y un buen estado de salud. Decimos que un paciente está en remisión completa cuando no existe evidencia de leucemia ni en su exploración física ni en el examen de sangre periférica ni de médula ósea. Los valores en sangre periférica deben ajustarse a los normales para la edad del paciente, y la médula ósea debe tener una celularidad normal, con menos del 5% de blastos. La remisión completa incluye también la ausencia de afectación del SNC o de afectación extramedular. Obtener la remisión completa es la base del tratamiento de la LLA y un requisito imprescindible para tener una supervivencia prolongada. Tras el ingreso inicial (aproximadamente, 10-15 días), el paciente acude casi a diario al hospital para recibir la quimioterapia i.v., mientras en casa recibe quimioterapia oral. Con la mejoría de los tratamientos de soporte y de los agentes quimioterápicos, la tasa de remisión completa alcanzada se aproxima al 96-99%. Aunque no se han observado diferencias significativas entre los distintos tratamientos de inducción de los diferentes protocolos internacionales, la administración de ciclofosfamida y el tratamiento intensificado con asparraginasa se consideran beneficiosos en el tratamiento de inducción de las LLA-T. Así mismo, el tratamiento con imatinib (un inhibidor de tirosín cinasas) y los nuevos inhibidores, como el dasatinib o nilotinib, han aumentado la tasa de remisión en los pacientes con LLA con cromosoma Philadelphia positivo. Es por ello que, en los pacientes con LLA Phi positivo, se inicia tratamiento con imatinib desde el día +15 de la inducción.
Intensificación (consolidación)
La fase de intensificación es la administración de un tratamiento intensivo inmediatamente tras finalizar la inducción. El objetivo de la misma es erradicar las células leucémicas residuales que han sido resistentes al tratamiento de inducción, contribuyendo con ello a disminuir el riesgo de recaída. Los pacientes ingresan en el hospital durante periodos de 4-6 días para recibir los ciclos de quimioterapia. Posteriormente, se realiza una reinducción que consiste en la repetición del tratamiento de inducción con ligeras modificaciones a los tres meses de adquirir la remisión completa.
Mantenimiento
Los pacientes con LLA requieren tratamientos de mantenimiento muy prolongados. Se ha comprobado que algunos pacientes que están en aparente remisión completa, al analizar sus células con técnicas de biología molecular, nos encontramos con una enfermedad mínima residual(15). Es por ello que los tratamientos de mantenimiento se mantienen al menos durante dos años, con reevaluaciones frecuentes para la detección de recaídas. El tratamiento estándar de mantenimiento consiste en la administración de mercaptopurina a diario y de metotrexato semanal. Los pacientes realizan el tratamiento de forma ambulatoria, acudiendo a sus revisiones cada 2-4 semanas. Durante el mismo, reciben profilaxis antiinfecciosa con cotrimoxazol tres días a la semana. Pueden acudir a la escuela y realizar una vida prácticamente normal.
Nuevas quimioterapias
En la tabla IV, se exponen las quimioterapias antileucémicas que están en fase de ensayos clínicos en la actualidad.

Tratamiento del SNC
El SNC actúa como “santuario” para las células leucémicas, porque son protegidas por la barrera hemato-encefálica que no permite a los agentes quimioterápicos alcanzar concentraciones adecuadas. Para la profilaxis del SNC, utilizamos desde el principio del tratamiento punciones lumbares repetidas y frecuentes con quimioterapia intratecal.
Trasplante hematopoyético
Como ya hemos visto, con la quimioterapia convencional se obtienen unos resultados excelentes en el tratamiento de los pacientes con LLA. Sin embargo, pacientes con criterios de muy alto riesgo al diagnóstico, así como aquellos que sufren una recaída tienen, en general, una mala evolución si se les trata sólo con quimioterapia convencional. Es en estos pacientes en los que el trasplante de progenitores hematopoyéticos (TPH) ha conseguido aumentar su supervivencia. Actualmente, las indicaciones de TPH en la LLA se resumen en: 1) pacientes que no alcanzan la remisión completa tras el tratamiento de inducción; 2) persistencia de enfermedad mínima residual tras la consolidación; 3) hipodiploidia extrema al diagnóstico (<44 cromosomas); 4) menores de 6 meses con reordenamiento MLL e hiperleucocitosis; 5) pacientes con recaída medular precoz (previa a 6 meses tras finalización del tratamiento); y 6) recaída combinada o extramedular en los 18 primeros meses desde el diagnóstico(16,17).
Función del pediatra de Atención Primaria: problemas que puede presentar un paciente con leucemia aguda durante el tratamiento
1. Fiebre: todo paciente con leucemia aguda que presente fiebre durante el tratamiento debe ser evaluado en un centro hospitalario. Hay que recordar que estamos tratando con pacientes inmunocomprometidos. Lo primero que haremos es evaluar el estado general del paciente por si precisara medidas urgentes. Lo segundo será comprobar si el paciente está neutropénico o si precisa hemoderivados. Siempre extraeremos hemocultivos. Hay que tener presente que estos pacientes son portadores de catéteres venosos centrales que pueden ser el foco de la fiebre. Si existe neutropenia febril, se suspenderá el tratamiento quimioterápico y se iniciará el tratamiento empírico intravenoso con antibioterapia de amplio espectro(18).
2. Toxicidad del tratamiento: la quimioterapia y la radioterapia presentan numerosos efectos adversos. También, podemos encontrarnos efectos secundarios producidos por: antibióticos, antieméticos, antihistamínicos, etc. Los pacientes suelen presentar mielosupresión de grado variable que puede requerir hemoderivados. La mucositis es frecuente tras el tratamiento con metotrexato. La alopecia (que presenta casi el 100% de los enfermos) es reversible. Las antraciclinas pueden producir cardiomiopatía. Los corticoides (que se utilizan durante periodos prolongados) producen obesidad, disminución de la mineralización, etc.(19). Además, se han visto asociados a un mayor índice de necrosis óseas, sobre todo en los adolescentes.
3. Enfermedad: todo paciente con leucemia aguda debe recibir un seguimiento estrecho de su enfermedad. Se deben explorar físicamente (incluyendo la palpación de los testículos en los varones) y analíticamente con frecuencia. Siempre que se sospeche una recaída, se realizará una evaluación de la médula ósea y del líquido cefalorraquídeo (ya que existen recaídas en SNC aisladas).
Bibliografía
Los asteriscos reflejan el interés del artículo a juicio del autor.
1.*** Hunger S, Lu X, Devidas M, et al. Improved survival for children and adolescents with acute lymphoblastic leukemia between 1990 and 2005: a report from the children´s oncology group. J Clin Oncol. 2012. Epub ahead of print.
2.** Rabin KR, Poplack DG. Management strategies in acute lymphoblastic leukemia. Oncology. 2011; 25(4): 328-35.
3.** Ortega Aramburu JJ. Leucemias agudas en el niño: treinta años después (1968-1997). Haematologica (ed. esp.). 1998; 83(Supl. 1).
4.*** Kara M, Kelly MD. Acute Lymphoblastic Leukemia. En: Weiner MA, Cairo MS, eds. Pediatric Hematology/Oncology Secrets. Philadelphia. Hanley and Belfus Inc.; 2002. p. 109-14.
5.*** Margolin JF, Steuber CP, Poplack DG. Acute Lymphoblastic Leukemia. Principles and practice of pediatric oncology. En: Pizzo A, Poplack D, eds. Capítulo 19. 6th edition. Philadelphia: Linpicott Lippincott Williams & Wilkins Publishers; 2011. p. 518-65.
6.*** Pui CH, Carrol WL, Meschinchi S, Arceci R. Biology, risk stratification, and therapy of pediatric acute leukemias: an update. J Clin Oncol. 2011; 29: 551-65.
7. Goldberg JM, Silverman LB, Levy DE, Dalton VK, Gelber RD, Lehmann L, et al. Childhood T-cell acute lymphoblastic leukemia: the Dana-Farber Cancer Institute acute lymphoblastic leukemia consortium experience. J Clin Oncol. 2003; 21: 3616-22.
8.** Carroll WL, Bhojwani D, Min DJ, Raetz E, Relling M, Davies S, et al. Pediatric acute lymphoblastic leukemia. Hematology (Am Soc Hematol Educ Program). 2003: 102-31.
9. Hutchinson RJ., Gaynon PS, Sather H., et al. Intensification of therapy for children with lower-risk acute lymphoblastic leukemia: long-term follow-up of patients treated on Children’s Cancer Group Trial 1881. J Clin Oncol. 2003; 21(9): 1790-7.
10.** Pui CH, Campana D, Evans E. Childhood acute lymphoblastic leukaemia – current status and future perspectives. Lancet Oncol. 2001; 2: 597-607.
11.*** Ravindranath Y. MBBS. Recent advances in pediatric acute lymphoblastic and myeloid leukemia. Curr Opin Oncol. 2003; 15: 23-35.
12.*** Rubnitz JE, Pui CH. Recent advances in the treatment and understanding of childhood acute lymphoblastic leukaemia. Cancer Treat Rev. 2003; 29(1): 31-44.
13.** Pieters R, Schrappe M, De Lorenzo P, et al. A treatment protocol for infants younger than 1 year with acute lymphoblastic leukaemia (Interfant-99): an observational study and a multicentre randomized trial. Lancet. 2007; 370(9583): 240-50.
14.** Biondi A, Cimino G, Pieters R, Pui CH. Biological and therapeutic aspects of infant leukemia. Blood. 2000; 96: 24-33.
15. Marshall GM, Haber M, Kwan E, et al. Importance of minimal residual disease testing during the second year of therapy for children with acute lymphoblastic leukemia. J Clin Oncol. 2003; 21(4): 704-9.
16. Popat U, Carrum G, Heslop HE. Haemopoietic stem cell transplantation for acute lymphoblastic leukaemia. Cancer Treat Rev. 2003; 29(1): 3-10. Review.
17.*** Pulsipher MA, Peters C, Pui CH. High risk pediatric acute lymphoblastic leukemia: to transplant or not to transplant. Biol Blood Marrow Transplant. 2001; 17(1): 137-48.
18.*** Pui CH, Robison L, Look T. Acute Lymphoblastic Leukemia. Lancet. 2008; 371: 1030-43.
19.** Inaba H, Pui CH. Glucocorticoid use en acute lymphoblastic leukemia. Lancet Oncol. 2010; 11: 1096-106.
Bibliografía recomendada
– Ortega Aramburu JJ. Leucemias agudas en el niño: treinta años después (1968-1997). Haematologica (ed. esp.). 1998; 83(Supl. 1).
El Dr. Aramburu, quizá la persona con mayor experiencia en LLA en nuestro país, relata la historia de la LLA en España desde finales de los años sesenta.
– Margolin JF, Steuber CP, Poplack DG. Acute Lymphoblastic Leukemia. Principles and practice of pediatric oncology. En: Pizzo A, Poplack D, eds. Capítulo 19. 6th edition. Philadelphia: Linpicott Lippincott Williams & Wilkins Publishers; 2011. p. 518-65.
El Pizzo, el Harrison de la Oncología Pediátrica, en la última edición, realiza una revisión y una actualización de todo el conocimiento sobre la leucemia aguda linfoblástica.
– Pui CH, Carrol WL, Meschinchi S, Arceci R. Biology, risk stratification, and therapy of pediatric acute leukemias: an update. J Clin Oncol. 2011; 29: 551-65.
Actualización completa de la biología y grupos de riesgo de las leucemias agudas en la edad pediátrica.
– Rubnitz JE, Pui CH. Recent advances in the treatment and understanding of childhood acute lymphoblastic leukaemia. Cancer Treat Rev. 2003; 29(1): 31-44.
Los autores hacen una revisión y actualización de los conocimientos en LLA en el terreno de las alteraciones genéticas, farmacogenómica, enfermedad mínima residual y en los avances en el tratamiento.
– Pui CH, Robison L, Look T. Acute Lymphoblastic Leukemia. Lancet. 2008; 371: 1030-43.
Artículo donde el autor C.H. Pui (probablemente el mejor experto mundial en LLA) repasa todos los aspectos de la Leucemia Linfoblástica Aguda en la edad pediátrica.
| Caso clínico |
|
Anamnesis Lactante de 2 meses, asintomática, que acude a su centro de salud a la vacunación de los 2 meses de vida y a revisión con su pediatra. En la exploración física, objetiva hepato-esplenomegalia, motivo por el que la remite al Servicio de Urgencias. Antecedentes personales Embarazo controlado, ecografías normales. Amniocentesis normal, cariotipo 46XX (realizada a petición de los padres). Madre grupo 0 Neg. Recibió profilaxis con gammaglobulina anti-D en el embarazo. Parto eutócico. Semana 39+4. Apgar: 7/8. PRN: 2.810 g. Ingresada en neonatología por distrés respiratorio inmediato, precisando oxígeno en gafas nasales durante 9 horas. Al mes de vida consulta en Urgencias de otro hospital por irritabilidad. En la exploración física objetivan palidez y hepatoesplenomegalia. Es dada de alta con los diagnósticos de cólicos del lactante y hepatoesplenomegalia. Vacunación según calendario. No alergias conocidas. Lactancia materna. Antecedentes familiares Padre: 32 años, sano. Madre: 33 años, sana. Hermano: 4 años, sano. No antecedentes de cáncer en familiares de primer grado. Exploración física FC: 150 lpm. FR: 55 rpm. Temp.: 37,3°C. TA: 78/58 mmHg. SatO2 99%, sin oxígeno suplementario. Regular estado general. Palidez mucocutánea. Normohidratada y bien perfundida. No petequias. Auscultación cardiaca rítmica, soplo sistólico II/VI. Auscultación pulmonar, buena ventilación bilateral. Abdomen blando y depresible, esplenomegalia de 5 cm y hepatomegalia de 4 cm. No adenopatías palpables. Pruebas complementarias: • Analítica: Hb: 8,3 g/dl. Hto.: 21%. Leucocitos: 494×109/L (90% blastos). Plaquetas: 119×109/L. Coagulación: normal. Bioquímica: ácido úrico: 4,3 mg/dl; LDH: 1.082; resto normal. • Aspirado de médula ósea: médula ósea compatible con leucemia aguda linfoblástica pro-B; CD: 10 negativo. El estudio de biología molecular revela la existencia de reordenamiento del gen MLL. • LCR: negativo para células malignas. Juicio clínico Leucemia aguda linfoblástica pro-B con reordenamiento MLL positivo. |


